Почему болит правый бок при беременности и как избавиться от боли Внимание! Самолечение может быть…
Рубрика “8 недель беременности”
Категория: 8 недель беременности
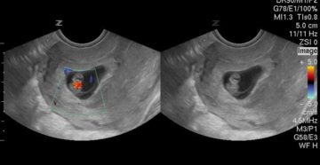
ребенок на 9 неделе беременности нет сердцебиение Беременность – это время интенсивных изменений в организме…
Выглядит ребенок 8 9 недель ВАЖНО! Для того, что бы сохранить статью в закладки, нажмите:…
Бежевые выделения на ранних сроках Любые отклонения от нормы у женщины, ожидающей ребенка, должны быть…
Болезненные ощущения в яичниках при беременности Многие женщины отмечают, что у них болят яичники при…
Что нужно знать о сердцебиении у плода Врачи следят за сердцебиением плода на протяжении всего…
Прогестерон при беременности, влияния дефицита Прогестерон – это стероидный гормон, вырабатывающийся в основном в женском…
Какие бывают выделения при беременности 8 недель Беременность – чудное время для перестройки всего женского…
Особенности развития ребенка в возрасте восьми недель На 8-й неделе жизни малыша уже можно наблюдать…
8 неделя беременности Уверенными шагами двигаемся к окончанию первого триместра. Не верите, что наступила 8-я…










