1 неделя беременности считается
1 неделя беременности. Календарь беременности 1 неделя

Первая неделя беременности – очень ответственный период. Идёт подготовка к зачатию и к долгому периоду вынашивания. Очень важно в это время свести к минимуму все ошибки, чтобы облегчить себе последующие 9 месяцев.
Акушерский срок беременности, в отличие от эмбрионального, считается не от даты зачатия, а от начала последней менструации. Поэтому никаких ощущений, связанных с беременностью, на данном этапе у женщины быть не может. Большую часть этой недели составляют непосредственно месячные, а само зачатие произойдёт ещё не скоро.
Сейчас женщина ощущает обычный дискомфорт, связанный с менструацией. Это может быть боль внизу живота, вызываемся сокращениями матки. Также нарушения гормонального фона иногда провоцируют рвоту, тошноту, тахикардию, повышенную потливость и озноб.
Пока в теле женщины отсутствует эмбрион, все изменения в нём зависят от фазы цикла. Их вызывают регулярные колебания гормонов. Такие перемены знакомы всем половозрелым девушками и повторяются ежемесячно.
Что происходит в организме женщины?
Первая неделя беременности припадает на начало менструального цикла. Сами месячные в норме длятся 3-6 дней. В этот период в теле женщины сильно снижается уровень гормона прогестерона, а количество эстрогена, наоборот, растёт. Это приводит к отторжению тонкого внутреннего слоя эндометрия, выстилающего изнутри матку, что вызывает несильное кровотечение.
За несколько дней остатки эндометрия покидают тело, смешиваясь с кровью и слизистым секретом. Менструальная жидкость более густая, чем кровь и немного темнее из-за высокого содержания в ней различных ферментов.
На первых неделях беременности большинство женщин не замечают никаких изменений в самочувствии. Первые признаки появляются после того как эмбрион имплантируется в тело и начнётся формирование плаценты.
Изменения в организме ребенка. Как развивается малыш?
Конечно, ни о каком ребёнке речь пока не идёт. Он будет зачат позже, а на данном этапе есть только незрелые половые клетки будущих родителей. Яйцеклетка только начинает своё созревание, а развитие сперматозоида ещё не началось. Он появится за несколько дней до зачатия.
Размер плода
К концу первой недели размеры эмбриона составляют 4-5 мм. Первые 6 дней зародыш как бы не связан с матерью, он питается за счет веществ, которые накоплены в яйцеклетке.
Изменения в организме матери
После окончания очищения матки, начинается созревание фолликула в яичнике. Обычно их бывает несколько и все они вместе развиваются под влиянием фолликулостимулирующего гормона (ФСГ).
Но в зрелую яйцеклетку, готовую к оплодотворению, превратится только один, происходит это в среднем через две недели.
Но эти сроки очень индивидуальны, поэтому полностью нельзя быть уверенным, когда произойдёт зачатие.
Женщинам, планирующим беременность, можно начинать изменять базальную температуру, чтобы вовремя определить начало овуляции и повысить шансы на зачатие. На первой неделе она бывает невысокой – 36,3-36,8 °C.
Первая неделя беременности, по сути, относится к этапу планирования. Поэтому можно пройти обследования, рекомендованные всем будущим мамам. Но посещать медучреждение во время менструации или сразу после неё не стоит, так как уровни многих гормонов в этот период отличаются от обычных.Отправляясь на обследования на этапе планирования, надо быть очень осторожной. К сожалению, в нашей стране распространена практика «коммерческих диагнозов». Иногда женщинам рекомендуют дорогое и ненужное им лечение. Если врач настаивает на терапии, пугая возможным бесплодием, стоит посоветоваться с другим специалистом.
На первой неделе беременности можно сделать:
- развёрнутый анализ крови, он позволит оценить общее состояние организма;
- общий анализ мочи;
- забор выделений из влагалища для определения активных инфекций, возможно, потребуется немедленное их лечение;
- анализ крови на гепатиты В и С, РВ (сифилис) и ВИЧ, ведение беременности у женщин с данными диагнозами имеет некоторые отличия;
- анализ крови на титр антител к герпесу, ЦМВ, токсоплазмозу, при выявлении активной инфекции зачатие придётся немного отложить.
Объективные данные
Когда месячные закончатся и самочувствие придёт в норму, можно посетить гинеколога и терапевта, для оценки общего состояния здоровья. Также стоит проверить состояние зубов, и, если есть какие-то проблемы, решить их немедленно. Сдавать анализ на антитела к краснухе на первой неделе беременности уже поздно, так как прививку надо делать не менее чем за 3 месяца до зачатия.
Обследование на УЗИ
Ультразвуковое исследование на данном сроке, естественно, не покажет наличие эмбриона. Но его проводят для своевременного обнаружения кист и опухолей в полости матки.
Также оно может показать истончение эндометрия, способное нарушить процесс имплантации оплодотворённой яйцеклетки и стать причиной невынашивания беременности и бесплодия.
Кроме того, УЗИ позволяет оценить рост фолликулов и степень зрелости яйцеклетки.
ХГЧ на 1 неделе беременности
Сдача анализа на уровень ХГЧ на первой неделе беременности не имеет смысла, так его повышение начинается не ранее, чем через неделю после зачатия. Тогда оплодотворённая яйцеклетка имплантируется в матке и беременность можно считать наступившей.
ХГЧ таблица по неделям беременности
Так как оплодотворённая яйцеклетка в данный момент в организме женщины ещё отсутствует, говорить о факторах, влияющих на неё, рано. Тем не менее, следует помнить, что употребление алкоголя, курение, а также контакты с опасными химическими веществами теоретически могут иметь негативное влияние на её развитие. Поэтому лучше избегать контактов с ними.
При этом негативное их воздействие на сперматозоиды доказано, поэтому мужчины должны быть ещё более осторожными.
Очень пристально в этот период надо следить за своим здоровьем и не допускать инфекционных заболеваний, особенно в области органов таза. Это может негативно сказаться на зачатии.
Так как в данный период в организме женщины отсутствует не только беременность, но и зрелая яйцеклетка, никаких осложнений, связанных с «интересным положением» быть не может. Если планируется ЭКО, то на этой неделе начинают приём препаратов для стимуляции супервовуляции. В остальных случаях женщина просто ждёт созревания яйцеклетки природным путём.
Во время планирования беременности большинство женщин начинают слишком пристально следить за своим здоровьем и обращают внимание на любые, даже самые незначительные, выделения из половых органов, принимая их за симптом заболевания. На самом деле даже у абсолютно здоровой женщины всегда присутствуют бели.
Они бывают необильными, слизистыми, прозрачными или мутноватыми из-за примеси клеток эпителия из влагалища. Запах у них практически отсутствует и появляется только при размножении бактерий из-за плохой гигиены. Если со временем на ежедневной прокладке они приобретают желтоватый цвет – это тоже норма.
На первой неделе беременности бели бывают скудными, их объём увеличивается при сексуальном возбуждении и после полового акта. А вот ближе к овуляции можно заметить слизистые выделения, напоминающие сырой белок из куриного яйца.Хотя непосредственно эмбрион на первой неделе беременности отсутствует, очень важно в этот период вести здоровый образ жизни, правильно питаться и придерживаться всех рекомендаций врачей. Ведь яйцеклетка, часть организма будущего малыша, уже формируется в теле матери, и любое негативное воздействие на неё может спровоцировать нарушение развития зародыша.
Питание и вредные привычки
Если вы не можете найти в себе силы для правильной организации рациона, то первая неделя беременности – оптимальное для этого время. Эмбриона ещё нет, а развитие яйцеклетки только началось, поэтому вы успеете спланировать новое меню и начать питаться правильно ещё до зачатия. Многим придётся существенно изменить свои пищевые привычки, но здоровье будущего малыша и его мамы стоит того.
На этом этапе необходимо приучить себя к здоровой пище. Важно отказаться от слишком сладкого, жирного и острого, ограничить источники пустых калорий, как, например, чипсы или булочки.
Также надо свести к минимуму потребление кофе и чая – не больше одной-двух чашек в день. Конечно, противопоказан алкоголь и никотин.
Если вы курите, то лучше бросить за несколько месяцев до активного планирования, чтобы зачатие не происходило на фоне постоянного стресса.
Питание обязательно должно быть сбалансированным. Основу рациона составят овощи и фрукты, рыба и нежирное мясо, цельные злаки и много зелени. Тем, кто не страдает от лактазной недостаточности, можно увеличить количество молочных продуктов.
Необходимо определить, сколько энергии надо вашему телу ежедневно и стараться всегда вписываться в эти нормы. Всю пищу желательно разделить минимум на три приёма и стараться не голодать и не переедать. Полненькие девушки на такой диете могут немного сбросить вес, а худышки нередко поправляются.
Но это нормально, так организм приходит в оптимальную форму перед зачатием.
Нужно ли принимать витамины?
Мнения врачей по поводу приёма синтетических витаминов во время беременности нередко расходятся. Одни считают, что здоровой женщине, которая правильно питается, принимать полезные вещества в форме таблеток не надо.
Но практика доказывает, что получить из пищи нужное количество фолиевой кислоты практически нереально, а она очень важна как раз на первых неделях беременности, когда происходит зачатие и закладка нервной системы.
Поэтому всем женщинам при планировании и во время первого триместра рекомендуют приём этого препарата.
Что касается специальных витаминных комплексов для беременных, то они подходят девушкам, которые не имеют возможности полноценно питаться или проживают в неблагоприятных условиях. В других же ситуациях они могут вызвать гипервитаминоз.
Интимная жизнь
Что касается половых отношений, то, если вопрос гигиены и психологические проблемы партнёров не сдерживают, врачи этого не запрещают. Но нужно помнить, что в этот период шейка матки приоткрыта, поэтому вероятность инфицирования возрастает. Лучше в эти дни использовать презервативы или другие барьерные методы контрацепции.
Физическая активность
Так как первая неделя беременности припадает на период менструации, то физические упражнения, как и половые контакты, придётся немного ограничить. Если самочувствие женщины не нарушено, то она может выполнять несложные упражнения, но сильно переутомляться или поднимать тяжести нельзя. Допускаются прогулки в приятном темпе, тренировки для растяжки или йога.
Лекарственные препараты и медицинские процедуры
При приёме любых лекарств необходимо учитывать все их побочные эффекты и период выведения из организма. Если есть риск негативного воздействия на плод, то лучше перенести лечение или зачатие на более поздний период.
Не рекомендуется проводить рентгенологическое обследование брюшной полости на первой неделе беременности. Если вы принимали любые препараты или проходили медицинские процедуры в этот период, обязательно надо предупредить своего врача.
Но переживать не стоит – в большинстве случаев никакого негативного влияния на ребёнка это не оказывает.
Возможные проблемы
Это очень важный период, который непосредственно предшествует оплодотворению, поэтому нужно стараться защищать себя от любых стрессов. Желательно не посещать в это время многолюдных мест, где высока вероятность подхватить ОРВИ или другое заболевание. Лучше отказаться от общественных бань и бассейнов. Также стоит поберечься от холода, особенно важно не переохлаждать органы таза.
А ещё не стоит в это время заводить домашних животных. Они могут быть источником грязи и глистов. Кроме того, кошки являются переносчиком токсоплазмоза – заболевания очень опасного для беременных.
Источник: https://mamapedia.com.ua/beremennost/calendar-beremennosti/1-week-beremennosti.html
Первые недели ожидания и планирования

Перед тем, как говорить о первой неделе беременности, следует разобраться в том, что именно мы имеем в виду под этим понятием, что мы берём в качестве точки отсчёта.
При нумерации акушерских недель беременности отсчёт ведётся с первого дня последней менструации цикла, во время которого был зачат малыш. Поэтому первая акушерская неделя беременности — эта первая неделя этого цикла. Однако за начало отсчёта можно брать и другие моменты времени.
К примеру, если считать от момента зачатия, то «первой неделей беременности» станет третья акушерская неделя, а если считать от начала задержки – пятая.
Что делать на первой неделе беременности?
- Если женщина твердо уверена в своем новом состоянии, то в первую очередь уже сейчас нужно готовить организм к принятию еще одной жизни.
- Продолжайте вести активную половую жизнь с партнером, но будьте осторожны и не сильно активничайте.
- Курение на первых неделях беременности нужно сократить до минимума, а лучше вообще исключить. Таким образом, вы сможете обезопасить своего малыша от вредного воздействия никотина и других не менее вредных веществ, которые содержаться в сигаретах. Если вы начнете бороться с вредными привычками уже на таком маленьком сроке, то будьте уверены, что результат определенно будет положительным.
- Питание свое в этот период также желательно подкорректировать. Скорее всего, ранний токсикоз еще вас не коснулся, поэтому у вас еще нет особых кулинарных пожеланий, но кушать полезные продукты и исключить вредные желательно уже сейчас.
- Алкоголь в первые недели беременности особенно тщательно нужно пытаться исключить. Но очень часто бывает так, что женщина не подозревает о своем положении, а какая-то знаменательная дата обязательно приведет к бокалу-двум вина. В этом случае переживать не стоит: исследования показывают, что около 70% женщин употребляли небольшие дозы алкоголя и детки рождались абсолютно здоровыми. При этом бесконтрольное употребление спиртных напитков чревато осложнениями не только в период ожидания малыша, но и может отразиться на его здоровье в будущем.
- В целом, помните, что беременность – обычное состояние женщины, и не стоит полностью менять свою жизнь из-за этого, но желательно также знать меру, особенно если присутствуют какие-либо вредные привычки (в том числе переедание).
- Простуда в этот период довольно опасна. Но считается, что если все же беременность наступила и развивается несмотря на этот фактор, то с малышом будет все в порядке.
Признаки беременности на 1 неделе
В течение первых двух акушерских недель факт беременности остаётся тайной для женщины, ведь она ещё не знает, что её яйцеклетка была оплодотворена. Признаки беременности пока что отсутствуют — организм только готовится к этому необычному для него состоянию.
На 3 акушерской неделе, то есть 1 неделе от зачатия, ярко выраженных признаков беременности также не наблюдается. Однако женщина может уже ощущать некоторую слабость и сонливость, перемены настроения и чувство тяжести в нижней части живота, но эти признаки часто появляются и при ПМС. Также может незначительно подниматься температура.
Выделения на первых неделях беременности носят название – «имплатанционное кровотечение», однако оно бывает далеко не у всех женщин, к тому же, очень часто его путают с началом менструаций. А вот на пятой акушерской неделе, то есть на 1 неделе, считая от задержки, симптомы уже могут проявляться достаточно ярко.
Симптомы беременности:
- задержку менструации, которая и является для многих сигналом о начале беременности;
- утреннюю тошноту;
- повышенную чувствительность к пище;
- сонливость, слабость, упадок сил;
- обострённое восприятие запахов;
- неожиданные изменения в пищевых пристрастиях, тягу к продуктам, которые женщина раньше не любила;
- боли в груди и её увеличение;
- тяжесть и боли в нижней части живота;
- изменение влагалищных выделений;
- перемены настроения.
Следует отметить, что первые признаки беременности могут проявляться по-разному у каждой из женщин: кто-то может по ним сразу догадаться о своём «интересном положении», кто-то принимает их за обычные симптомы приближающейся менструации, а у кого-то первые признаки зародившейся жизни выражаются столь слабо, что на них и вовсе не обращают внимания… В любом случае, чтобы развеять все сомнения, следует воспользоваться тестом на беременность, ведь его положительный результат — это тоже симптом беременности, причём достаточно яркий и очевидный.
Что происходит с организмом женщины?
На 1 акушерской неделе беременности никакого зачатия ещё не произошло — эта неделя становится «первой неделей беременности» постфактум, и во время неё будущий плод является всего лишь созревшим фолликулом на поверхности яичника, который готовится к овуляции.
На первой неделе от зачатия, то есть 3 акушерской неделе, уже оплодотворённая клетка движется к матке по маточной трубе, затем эмбрион вживляется в стенку матки, формируются пуповина и плацента. Эта неделя является очень важной для всего течение беременности.
Следует иметь в виду, что на 1 неделе от зачатия особенно велика опасность выкидыша — женский организм сопротивляется прикреплению инородного тела к стенке матки, а в особенности сопротивление сильно, если хозяйка организма обладает неплохим иммунитетом.
Кстати, недомогание, слабость и повышение температуры тела вызваны именно этой борьбой организма с попыткой инородного тела прикрепиться к матке.Источник: https://pregnant-club.ru/pervye-nedeli
1 неделя беременности

В нашем календаре беременности вы вместе с тысячами других будущих мам пройдёте удивительный и запоминающийся на всю жизнь путь длиною в сорок акушерских недель. Это будет счастливая и благополучная дорога, начинающаяся от первого дня последней менструации и завершающаяся долгожданным и самым радостным появлением малыша на свет.
Сразу оговоримся, что акушерские недели принято отсчитывать от первого дня последней менструации, а эмбриональные недели «интересного положения» берут точку отсчета от оплодотворения. В нашем календаре, в соответствии с передовой медицинской наукой, мы отсчитываем акушерские недели.
Вы узнаете из нашего календаря, что происходит в вашем организме в 1 неделю беременности и на каждом новом этапе, как развивается и растёт плод, получите полезные рекомендации, увидите ободряющие видеоролики, будущие мамы будут делиться фото своих животиков, снимков УЗИ, своими впечатлениями и симптомами. Будет море полезной информации, гарантируем.
Первая акушерская неделя беременности, как вы уже поняли, предшествует зачатию, поэтому никаких необычных ощущений у женщины быть не должно.
Признаков беременности на 1 неделе по акушерскому методу отсчета быть не может. Они появятся на 14 дней позже.
Развитие эмбриона
Многие тысячи, и даже сотни тысяч, молодых девушек, лишь только тест покажет заветные две полоски, спешат набрать в поисковике глобальной сети запрос: «первая неделя беременности – развитие эмбриона».
Им не терпится почитать, как поживает под сердцем будущий ребенок, как только они узнали о своём «интересном положении» и перспективе ближайшие девять месяцеввынашивать внутри себя маленькое Чудо.
Это извечный материнский инстинкт от Матушки Природы.
Однако, как мы и говорили в предыдущем разделе, 1 неделя беременности по акушерскому методу отсчета (не путайте с 1 эмбриональной неделей беременности, которая наступит на 14 дней позже) ПРЕДШЕСТВУЕТ не только оплодотворению, следовательно зарождению эмбриона в организме будущей матери, но и овуляции, необходимой для зачатия, для того, чтобы сперматозоид достиг яйцеклетки.
Жизнь зародится под сердцем у молодой девушки только между второй и третьей акушерской неделей беременности.
Если вам, действительно, не терпится узнать о развитии плода внутри вас и то, как он выглядит, в поисковике корректно будет писать так – развитие эмбриона в 1 эмбриональную неделю беременности.
Признаки и симптомы беременности на первой неделе
Согласно выбранной нашим календарём системы отсчета недель (акушерской), как это ни странно звучит, в первую неделю беременности собственно беременность ещё не наступила, просто обозначился цикл в женском организме, благоприятный для подготовки к зачатию и, как следствие, беременности. Но чтобы не тратить времени даром, уже пора дать будущей маме полезную информацию о том, какие симптомы беременности на 1 неделе после зачатия ей стоит ожидать.
Итак, первая неделя беременности характеризуется следующими признаками и симптомами:
- Допустимо небольшое недомогание у будущей мамы с симптоматикой, похожей на протекание простуды, однако без высокой температуры.
- В течение дня настроение может кардинально меняться несколько раз с высокой амплитудой (от слёз до смеха). Гормоны в организме женщины делают эмоциональное настроение за короткий промежуток времени крайне нестабильным.
- Может нарушиться сон. При неоправданно раннем пробуждении девушка целый день может чувствовать желание поспать ещё. Ощущение недосыпа усиливает недомогания из первого пункта, добавляя к ним разбитость и усталость.
- Есть вероятность беременной девушке почувствовать тяжесть внизу живота. Это связано с тем, что сейчас к матке поступает больше обычного объём крови.
- Кроме этого, допустима вероятность головных болей разной интенсивности и остроты.
- Прикосновения к молочным железам могут быть болезненными для девушки.
- Многие будущие мамы на этом этапе беременности отмечают повышенный аппетит.
- Допустима вероятность, что уже сейчас даст о себе знать ранний токсикоз, выражающийся кратковременными приступами тошноты в утренние часы.
- Возможно, станут более частыми позывы к мочеиспусканию.
- Есть небольшая вероятность девушке на этом сроке почувствовать дискомфорт в пояснице.
Совершенно необязательно, что все десять из перечисленных спутников ранней беременности сразу «атакуют» вас после оплодотворения. Совсем нет. Каждый женский организм индивидуален.
Наиболее вероятно, что вы для себя отметите на 1 неделе беременности после зачатия лишь болезненность при прикосновении к груди и активные перепады настроения. А всё остальное вас минует. Следует надеяться на лучшее, а готовиться к худшему. Ни в коем случае не программируйте себя, что это всё богатство симптомов и признаков «обрушится» на вас в полном объёме. Сохраняйте настрой на позитив!
Помните, на любом сроке «интересного положения» будущей маме очень важно находиться в комфортном психоэмоциональном состоянии. Не думать о плохом, не ввязываться в конфликты, избегать стрессов и сильных переживаний. На положительное настроение беременной должны «работать» все: супруг, родители, близкие родственники, друзья, соседи, коллеги, врачи и все-все.
Определение точного срока
На первой акушерской неделе беременности, как мы уже неоднократно говорили выше, половой акт между будущими родителями с целью оплодотворения яйцеклетки ещё не произошел. Фактически беременность ещё не началась. Точный срок, наиболее вероятно, сможет квалифицированно и компетентно установить ваш участковый врач-гинеколог, когда вы пойдете в женскую консультацию вставать на учёт.
Сейчас давайте ещё раз проговорим последовательность событий и соответствующие им недели беременности по акушерской системе отсчета.
Для этого будем использовать пронумерованную схему. Номер будет обозначать акушерскую неделю беременности.
- Менструальный цикл у будущей матери.
- Овуляция в женском организме.
- Оплодотворение яйцеклетки в ходе полового акта будущих родителей.
- Оплодотворенная яйцеклетка движется по фаллопиевой трубе, делясь от зиготы до бластоцисты, и имплантируется в эндометрий матки.
- Простой тест на беременность по уровню ХГЧ может показать две полоски.
- Образование и развитие эмбриона.
УЗИ плода на 1 неделе беременности
УЗИ плода на первой акушерской неделе беременности, как вы сами поняли из схемы выше, не делают. Это совершенно бессмысленно до оплодотворения и полового акта с целью зачатия между будущими родителями. Однако ультразвуковое исследование допустимо на сроке – первая эмбриональная неделя беременности (соответствующая третьей акушерской) с целью подтвердить беременность.
Болезненность в животе
Болезненность в животе на ранних сроках беременности – распространенный симптом. Конечно, не на сроке первая или вторая акушерская неделя, а несколько позже.
Матка будет снабжаться кровью активнее и неделя за неделей активно расти, надавливая на мочевой пузырь и другие внутренние органы.
Сейчас болезненность в животе может быть у женщины только в случае, если это привычные для нее боли при менструации.
Тошнота
На первой акушерской неделе беременности, в самом начале вашего счастливого пути к материнству, ни раннего токсикоза, ни тошноты быть не может, потому что оплодотворения пока не произошло.
Организм женщины лишь готовится к своему «интересному положению».
Если на этом сроке вас беспокоит тошнота, это не признак беременности, а скорее всего, следствие какой-либо проблемы в системе пищеварения.
Изменение настроения
На сроке первая акушерская неделя беременности, соответствующем старту первого триместра «интересного положения» и самому началу первого акушерского месяца беременности, перепадов и изменений настроения быть не должно. Если только это не свойственно в индивидуальном порядке данной конкретной девушке при начале менструального цикла.
Изменения настроения на ранних сроках беременности вызывает обычно гормональная перестройка в организме будущей мамы.
Само собой, она не может начаться до оплодотворения, то есть до момента, пока фактически беременность не наступила.Многие женщины на ранних сроках беременности подвержены этой психологической проблеме – в течение дня несколько раз кардинально меняется настроение: от слёз и негативных переживаний до невероятной радости и смеха. Новые гормоны в организме будущей матери по законам Природы таким образом готовят женщину к новому статусу, закаляют ее психологический иммунитет.
Снижение работоспособности
На ранних сроках беременности у будущих мам может наблюдаться снижение работоспособности. Этому могут способствовать: нарушение сна, чувство разбитости, усталости и недосыпа, резкие перепады психоэмоционального настроения, иногда преследование всевозможных «беременных» фобий и страхов. Это абсолютно нормально.
Как физиологически, так и психологически женщина должна перестроиться и подготовиться к новому своему статусу матери – самого главного человека в жизни будущего ребенка, отвечающего за его здоровье, благополучие и счастье.
Для того чтобы снижение работоспособности не нарушало привычный режим дня, очень важно не поддаваться плохим мыслям, страхам и лишним переживаниям. Сохраняйте настрой на лучшее!
Возможные проблемы
Как мы и говорили, на первой неделе беременности по акушерскому методу отсчета, который мы избрали в нашем календаре, фактически беременность не наступила. Ещё идёт менструальный цикл.
После него созревание яйцеклетки, а только потом (через 12-16 дней) оплодотворение. Поэтому о возможных проблемах первых двух недель говорить нет смысла.
Лучше подготовить будущую маму к возможным проблемам ранних сроков беременности.
Ключевое слово здесь «возможных». Совершенно необязательно всё перечисленное, или даже часть этого коснётся именно вас. Каждый организм индивидуален.
Высока вероятность, что нижеследующие недуги никак беременную девушку не побеспокоят.
К гипотетическим проблемам ранних сроков беременности относятся:
- Молочница при беременности, сопровождающаяся зудом и творожистыми выделениями.
- Ранний токсикоз, сопровождающийся тошнотой по утрам, низким аппетитом и плохим самочувствием.
- Замершая беременность, вероятность которой крайне невелика, если соблюдать все рекомендации специалистов.
- Учащенное мочеиспускание, связанное с тем, что растущая матка давит на мочевой пузырь.
- Запоры.
- Самопроизвольный аборт, или выкидыш, который также бывает крайне редко при соблюдении всех правил на этапе планирования беременности и собственно вынашивания ребенка.
- Перепады и резкие изменения настроения.
- Нарушения сна, чувство недосыпа, разбитости и усталости.
Настраивайте себя на позитивную волну. Мы перечислили то, что с некоторой долей вероятности встречается у беременных женщин на ранних сроках. Осведомлен – значит, вооружен. Рождение здорового ребенка во многом зависит от положительного настроя и оптимизма будущей мамы!
Полезные советы и рекомендации для будущей мамы
Внутри женщины грядет зарождение новой жизни, и меры, принимаемые по сохранению ее здоровья в данный период, как никогда, важны. Поэтому в это время важно выяснить — что нельзя в первую неделю беременности. Если вы не сделали этого раньше, начните прямо сейчас, и это обязательно благотворно скажется на развитии малыша в будущем.
- Наверное, самое главное предостережение — это отказ от всевозможного поступления яда в организм женщины. То есть курение и алкоголь на первых неделях беременности следует исключить полностью.
- Все медикаменты, которые по той или иной причине женщина вынуждена применять, должны быть одобрены врачом. Всем известно, что многие лекарственные препараты могут вызвать необратимые процессы в организме женщины. Поэтому недопустимо принимать лекарства без разрешения врача.
- Стараться не делать рентгенологических облучений органов брюшной полости. Такие исследования проводят лишь при возникновении крайней необходимости!
- Стрессовые ситуации негативно влияют на состояние здоровья будущей мамы, поэтому желательно решать все возникающие проблемы мирным путём. Не ссорьтесь с близкими, не конфликтуйте с сотрудниками! Гораздо лучше будет создать уютную романтическую атмосферу дома с мужем, ведь секс на первых неделях беременности не только позволит вам расслабиться, но и укрепит отношения с супругом в интимной сфере.
- Максимально избегать контакта с больными людьми. Важно, в холодное время года тепло одеваться и беречь себя от простуды и различных заболеваний, которые могут вызвать повышение температуры, что крайне нежелательно на первых неделях беременности. На помощь тут приходят пресловутые чеснок и лук — лучшие средства профилактики простуды на первых неделях беременности.
- Чтобы укрепить иммунитет и обогатить организм недостающими микроэлементами, рекомендуется принимать витамины уже на первых неделях беременности. Но не стоит забывать и о правильном полноценном питании, которое так важно. Рацион должен обязательно включать овощи, фрукты, злаки и молочную продукцию. Особенно важно стоит обратить внимание на содержание в продуктах фолиевой кислоты, которая поможет предотвратить врождённые дефекты и поможет нормальному развитию плода.
Питание будущей мамы на протяжении всей беременности, в целом, и на ранних сроках, в частности, должно быть разнообразным, сбалансированным и здоровым. Придётся отказаться от копченого, острого, жареного. Предпочтение следует отдавать блюдам, приготовленным на пару, тушеным, отварным. Больше свежих овощей и фруктов, зелени и ягод.
От газированных напитков (лимонада, пепси и колы) желательно воздержаться. Не злоупотребляйте кофе, шоколадом, цитрусовыми и мёдом (продуктами с высоким риском аллергических реакций). Чтобы избежать токсикоза, питание лучше сделать дробным – часто и маленькими порциями. Пять-шесть раз в день.
Налегайте на молочные продукты – источник кальция, и отварное мясо с морепродуктами – источник белка.
Источник: https://www.BabyBlog.ru/cb/1-nedelya
1 неделя беременности считается

Срок беременности не исчисляется месяцами, для удобства гинекологи придерживаются акушерского метода расчета периода вынашивания ребенка по неделям. Первая неделя – самая загадочная из всех предстоящих. Ее вычисление производится гинекологом чисто теоретически, исходя из расчета первых дней цикла и предположительного дня овуляции.
1 неделя беременности – с чего все начинается?
В медицине отсчет ведется с первого для последней менструации. Это обусловлено тем, что достаточно сложно определить точный день зачатия – у каждой женщины овуляция наступает в разные дни цикла, в зависимости от его продолжительности и физиологических особенностей будущей матери. По этой причине гинекологи всегда ориентируются на акушерский срок, а не эмбриональный.
Нормальная беременность длится 40 акушерских недель, 280 дней или 10 лунных месяцев.
С научной точки зрения, на первой неделе беременности созревает фолликул – наполненный жидкостью пузырек, в котором находится яйцеклетка. После выхода из оболочки она живет от 24 до 48 часов. Внутренний слой стенок фолликула вырабатывает гормоны эстрогены, которые способствуют восстановлению и разрастанию слизистого слоя в матке, подготавливая ее полость к предстоящей беременности.
Предлагаем Вам ознакомиться с подробным календарем беременности на нашем сайте, где подробно рассказано что происходит с формированием плода на каждой из 42 недель — ссылка.
Со временем яйцеклетку оплодотворит сперматозоид. После того, как произойдет слияние клеток, они начнут делиться и зигота из маточной трубы попадет в полость матки. Это особая клетка – в ней хранится генетический материал отца и матери. Будущий ребенок приобретет генные характеристики от обоих родителей.
Имплантация проходит в течение 7 дней. В матке зигота прикрепится к стенке и в новом домике станет развиваться дальше, постепенно превращаясь в маленького человечка.
Эмбриональный период является самым важным. Женщина еще не подозревает о наступлении беременности, а эмбрион проходит поочередные этапы развития. В это время определяется один или несколько плодов будут развиваться в матке и образовывается хорион, участвующий в формировании плаценты.
Симптоматика и ощущения на раннем сроке
1 неделя беременности совпадает с началом менструального цикла. Мышцы матки сокращаются, изгоняя отторгнутый слой эндометрия, и самочувствие женщины улучшается.
На этом сроке женщина ничего не знает о своем «интересном» положении. Соответственно, все симптомы и признаки еще отсутствуют – молочные железы не набухают, нет токсикоза, усталости и непереносимости запахов. В этот период немного меняется характер влагалищных выделений, что считается нормой.
Не определить беременность, сдав кровь на уровень ХГЧ. Не покажет изменений и тест – если организм здоров и нет никаких гормональных сбоев, на нем появится только одна полоска.
Существует ряд симптомов, которые в редких случаях ощущают женщины на 1 неделе:
- слизистые выделения с тонкими кровяными прожилками-ниточками, как свидетельство прикрепления эмбриона;
- растяжение и давление в области лобка;
- отрицание курения и алкоголя – защитная реакция организма на подсознательном уровне;
- эмоциональная нестабильность.
На первой неделе беременности повышается утомляемость. Женщина быстрее устает и не может справляться с обычными физическими нагрузками. Организм будто включает « деликатный режим» и пытается сохранить силы.
Подобные симптомы проявляются не у всех будущих мам, заметить их можно, только если постоянно прислушиваться к собственному телу.
Подтвердить 1 неделю беременности невозможно, несмотря на все достижения современной медицины. Остается только ждать, пока появятся характерные признаки. Ни один гинеколог не сможет определить наступление беременности на первой неделе.
Изменения в организме матери на 1 неделе беременности
Сразу после зачатия женский организм начинает глобальную перестройку, стараясь обеспечить себя и зародившийся эмбрион всем необходимым.
- Выделение большого количества эстрогена может оказать влияние на молочные железы. Они увеличиваются в размерах, ореолы соской становятся темнее и набухают. Грудь становится болезненной.
- Происходят изменения в центральной нервной системе. Повышается влияние блуждающего нерва и будущая мама становится невнимательной, рассеянной, изменяется вкусовое восприятие, повышается слюноотделение. Частым спутником становится слабость и головокружение.
- Начинается перестройка кровеносной системы: повышается маточный кровоток, объем циркулирующей крови увеличивается. Организм женщины старается настроиться на способность снабжать достаточным объемом кислорода плод.
- Изменяется базальная температура и если при планировании используется данный метод контроля овуляции, будущая мама узнает о наступлении беременности на самом раннем сроке.
Тошнота и рвота проявляются гораздо позже. Если вас посещают приступы токсикоза по утрам или вечерам, возможно, ваш срок уже немного больше, чем вы думаете.
Что происходит с плодом на 1 неделе беременности
Слияние вышедшей из фолликула яйцеклетки со сперматозоидом символизирует зарождение новой жизни. Это всего лишь одна клетка, которой предстоит пройти огромный путь развития в утробе матери.
С момента оплодотворения в зиготе происходит активное деление клеток, которые из неорганизованной массы образуют полый шар – бластоцисту.
Несмотря на то, что размер эмбриона сейчас составляет всего 0,2 мм, уже определен пол будущего ребенка – он зависит от полученной от отца X или Y половой хромосомы. В остальном хромосомном наборе заложены данные, в соответствии с которыми будут развиваться все системы и органы плода.
Наружный слой бластоцисты, внедряясь в стенки матки, начинает синтезировать гормон беременности — хорионический гонадотропин. По уровню ХГЧ определяют наступление беременности на ранних сроках, это один из самых достоверных показателей.
Рацион питания
Меню женщины, планирующей стать мамой, отличается от обычного рациона. Питание должно быть полноценным и сбалансированным, насыщенным белками и умеренным количеством жиров.
Треть всего рациона должны составлять свежие овощи и фрукты в сыром виде или термически обработанные. Обязательно употребление жирной рыбы, которая несет огромную пользу для мозга.
Врачи акушеры-гинекологи и диетологи дают некоторые рекомендации по питанию будущим мамам на 1 неделе беременности.
- Пересмотрите собственную систему питания. Исключите все вредные продукты и обратитесь за помощью к диетологу, который поможет составить индивидуальное полноценное меню, где будут все необходимые будущей маме витамины и минеральные вещества.
- Основу рациона беременной женщины должны составлять нежирное мясо, рыба, овощи и кисломолочные продукты. Мясо содержит необходимый строительный белок, рыба – ненасыщенные кислоты и магний. В овощах есть целый перечень обязательных витаминов, которые должны попадать в материнский организм во время вынашивания ребенка. Кисломолочные изделия способствуют нормализации стула и своевременному очищению от токсинов.
- Откажитесь от жареной, соленой, острой пищи, чтобы не провоцировать изжогу и проблемы с ЖКТ. Ограничьте употребление сладкого, отдав предпочтение свежим фруктам. Выпивайте как можно меньше крепкого чая и кофе.
- Категорически запрещается употребление сырой рыбы и морепродуктов – в них могут быть паразиты, которые, попав в материнский организм, проникают к плоду и забирают у него жизненно важные микроэлементы.
Витамины и минералы, если их не хватает в продуктах, следует принимать отдельными комплексами. Это позволит снизить риск возникновения пороков при развитии плода, вызванных дефицитом полезных веществ.
Отдельное внимание стоит уделить витамину В9, или фолиевой кислоте. Он способен уменьшать негативное влияние внешних и наследственных факторов на эмбрион, благоприятно воздействовать на формирование нервной системы и общее состояние плода.
Другие витаминные препараты будут назначены врачом после осмотра, результатов анализов и постановки на учет.
Во время первой неделе беременности крайне не рекомендуется придерживаться строгих диет и жестких ограничений в питании. Если беременная женщина страдает лишним весом, следует прибегнуть к помощи квалифицированного диетолога. Специалист составит сбалансированное меню в индивидуальном порядке, с учетом всех нюансов.Очень часто во время беременности женщина начинает есть за двоих. Делать этого не нужно! Переедание приведет исключительно к избыточному весу. Лишние килограммы навредят будущему ребенку, а постоянный набор веса негативно скажется на здоровье беременной на последних сроках.
Медицинские рекомендации и советы по образу жизни будущей мамы на данном сроке
Предполагая беременность, женщина должна задуматься о своем образе жизни и скорректировать его согласно рекомендациям. Трепетная забота о себе еще до зачатия значительно увеличивает шансы выносить и родить здорового ребенка.
- Морально подготовьтесь к предстоящим изменениям. Последующее 9 месяцев в вашем организме будут происходить необычные процессы, большинство из которых неприятные. Токсикоз, боли в животе, изменения в фигуре, сонливость и частые позывы к мочеиспусканию – естественные процессы. Отнеситесь к ним с терпением, без раздражения. Ведь через 39 недель все закончится и у вас на руках окажется долгожданный малыш.
- Старайтесь больше отдыхать и просто спать. Выделяйте немного времени на дневной сон, окружите себя красивыми вещами.
- Ограничьте общение с неприятными людьми, старайтесь избегать конфликтов и стрессовых ситуаций на работе и дома.
- Откажитесь от походов в сауну, баню и от принятия горячих ванн.
- Как только узнали, что беременны, безотлагательно отправляйтесь к врачу. Специалист с помощью осмотра или УЗИ подтвердит, что в матке находится плодное яйцо и оценит ваше общее состояние. В случае необходимости гинеколог назначит поддерживающие препараты и сделает все необходимое для сохранения беременности.
- Медикаменты принимайте с осторожностью, только по назначению врача. Обычную простуду лечите народными средствами, прибегая к фармакологическим лекарствам в последнюю очередь. Избегайте контакта с больными людьми, не посещайте людных мест в период эпидемий, берегитесь от переохлаждений.
- Откажитесь от приема алкоголя, курения и сильных психотропных препаратов.
- Экстремальные виды спорта теперь не для вас – берегите себя и будущего ребенка. Резкий всплеск адреналина не пойдет вам на пользу.
- Запрещается облучаться рентгеновскими лучами и делать флюорографию.
Опасности на 1 неделе беременности
В первую неделю беременности часто случаются самопроизвольные аборты – выкидыши, о которых женщина даже не подозревает, принимая их за очередную менструацию.
Еще одна опасность – внематочная беременность. Она возникает, когда по какой-то причине оплодотворенная клетка прикрепляется к маточной трубе или выходит в брюшную полость. Такое состояние угрожает жизни женщины и требует оперативного вмешательства. Первое УЗИ назначают специально, чтобы исключить неправильное прикрепление.
Хромосомные аномалии – еще одна причина ранних самоабортов. Зародыш перестает развиваться, и организм матери отторгает его.
Из-за гормональных сбоев, воспалений эндометрия, рубцов и синехий в полости матки затруднена имплантация бластоцисты, эмбрион погибает и удаляется при очередной менструации.
К факторам риска относится прием сильнодействующих лекарств или антибактериальных препаратов. Это приводит к прерыванию беременности или к тяжелым последствиям для плода в ходе его последующего развития.
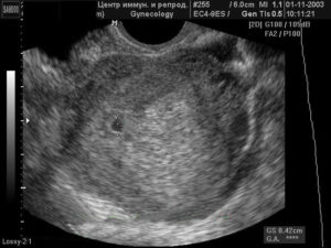
УЗИ развития плода
На первой неделе беременности, проведя ультразвуковое исследование, в полости матки можно увидеть утолщенный слой эндометрия, который готовится к прикреплению оплодотворенной яйцеклетки.
Проводят также обследование яичников, с целью определить в каком из них созрел доминантный фолликул. Он имеет вид округлой темной полости и по размеру отличается от других.
Зреющий фолликул имеет неправильную форму, на нем появляется яйценосный бугорок, который есть основой для будущей яйцеклетки.Желтое тело выглядит как темное пятно с неправильными контурами. Оно развивается в том месте, где лопнул фолликул, и вырабатывает прогестерон.
— 1 неделя беременности описание, ощущения, выделения, развитие плода, фото и УЗИ
Источник: http://baby-tut.ru/2018/02/09/1-nedelya-beremennosti-schitaetsya/


