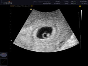
Снимок узи 5 недель
Узи на 5-й неделе во время беременности

УЗИ на 5 неделе беременности не входит в число обязательных исследований за 9 месяцев вынашивания малыша, но многие мамы хотят пройти этот анализ по разным причинам.
Некоторые женщины мечтают как можно скорее удостовериться в диагнозе, кто-то отправляется на ультразвук по назначению врача. В пять акушерских недель зародыш уже становится эмбрионом, и его впервые можно разглядеть на мониторе аппарата.
Какие показатели смотрит врач на УЗИ в это время и чем акушерский срок беременности отличается от обычного?
Что происходит с эмбрионом на 5-й неделе
Акушерский срок беременности отсчитывается с первого дня последней менструации (то есть цикла), в отличие от гестационного, который идет с момента оплодотворения. Обычно зачатие происходит в период овуляции – в самой середине цикла. Поэтому 5-я акушерская неделя соответствует 3-й гестационной, или эмбриональной.
Плодное яйцо с будущим малышом внутри в это время составляет всего 1 см в диаметре, сам эмбрион в нем – 1,5-2,5 мм. Но он быстро растет и к 6 неделе может достигнуть уже 5 мм. На 5-6-й неделе на ультразвуке уже можно понять, где головной и хвостовой концы эмбрионы, где будет спинка ребенка, а где животик.
Эмбрион на 5-й недельке беременности еще плоский, но это уже полноценный трехслойный организм. Из каких слоев состоит тело будущего ребеночка на этом сроке?
| Эктодерма | Нервная система, мозг, позвоночник, эпидермис кожи и все его производные (волосики, ногти), зубы, эпителий переднего и заднего отдела ЖКТ и др. |
| Мезодерма | Все хрящи и косточки, скелетная мускулатура, сердце и сосуды, лимфатическая система, плевра, брюшина и др. |
| Эндодерма | Желудок и кишечник, поджелудочная железа, мочеполовая система, печень, щитовидная и паращитовидная железы, легкие и др. |
Пятая-шестая недели – очень ответственный период, получивший название органогенеза. Происходит формирование нервной трубки малыша, которая позже превратится в головной и спинной мозг.
Происходит закладка легких, кишечника, печени и других органов. Формируются семенники (половые железы), которые начинают вырабатывать тестостерон.
Если гормона будет недостаточно, эмбрион будет развиваться как девочка.
Увидеть на УЗИ 5-й недели беременности такие тонкости развития ребенка невозможно. Зато при помощи специального оборудования уже можно расслышать сердечко эмбриона, которое начинает биться к 6-й недельке.
С какой целью проводится узи на 5-й неделе?
Ультразвук на пятой акушерской неделе беременности – единственное исследование, которое может определить наличие эмбриона в матке у женщины.
На такое УЗИ пациентку обычно отправляет врач-гинеколог при подозрении на беременность после внешнего осмотра.
В это время эмбрион слишком маленький, чтобы можно было увидеть его внутренние органы, в полной мере оценить риски патологий развития, узнать пол. Но от этого сканирование на 5-6 неделе не становится менее важным.
На раннем сроке в 5-6 недель ультразвук имеет следующие задачи:
- подтвердить или опровергнуть сам факт беременности пациентки;
- установить место расположения эмбриона – в матке или за ее пределами;
- уточнить возраст малыша по КТР (копчико-теменному размеру);
- определить количество эмбрионов в матке женщины;
- оценить жизнеспособность ребеночка (по сердцебиению);
- определить состояние плаценты и околоплодных вод;
- выявить состояние экстраэмбриональных структур (хорион, амнион, желточный мешок).
Поскольку ультразвук на пятой неделе не входит в перечень обязательных по закону исследований для беременных пациенток, споры вокруг него не утихают.
Некоторые женщины считают, что такое раннее сканирование способно негативным образом сказаться на будущем малыша. Но сегодня УЗИ признано самым безопасным методом медицинской диагностики.
А в первом триместре только таким способом можно распознать опасную патологию беременности и вовремя принять врачебные меры.
Какие патологии можно выявить на УЗИ 5-й недели?
На более поздних УЗИ 10-12-й и 20-22-й недель можно выявить самые различные патологии развития малыша. Это врожденные пороки, хромосомные аномалии и т.д. В пять недель только начинается закладка всех внутренних органов, поэтому говорить о такой диагностике пока рано. Важнейшая задача УЗИ на раннем сроке – оценить нарушения течения беременности и общее состояние пациентки.
Ультразвуковое сканирование в пять-шесть недель определяет:
- внематочную беременность;
- угрозу выкидыша (из-за отслойки плаценты, кровяных сгустков в полости матки);
- гипертонус матки (в норме тонус должен быть понижен);
- пузырный занос;
- замершую беременность и др.
Основное показание для УЗИ-сканирования в пять-шесть недель – это подозрение на внематочную беременность.
Помимо полости матки плод может располагаться в маточных трубах, иногда – в яичниках, шейке матки и даже брюшины. На 8-й неделе подросший эмбрион способен разорвать маточную трубу.
Поэтому ранняя диагностика на УЗИ – единственный способ вовремя распознать патологию и провести операцию.
Как выбрать УЗИ на 5-й неделе?
В период беременности акушер-гинеколог может назначить один из двух видов ультразвука – трансабдоминальный (внешний) или трансвагинальный (внутренний).
Трансабдоминальное сканирование делают через брюшную стенку: живот намазывают специальным гелем, по которому скользит датчик УЗИ. Картинка, «увиденная» датчиком, передается на монитор. Подготовка к такому анализу минимальная – оно проводится с наполненным мочевым пузырем, так что за час-полтора до процедуры женщина должна выпить 2-3 стакана жидкости.
Рекомендуется трансабдоминальный ультразвук с 10-11-й недель беременности.
При трансвагинальном ультразвуке датчик УЗИ в специальном презервативе вводят внутрь через влагалище. Это сканирование проводится при пустом мочевом пузыре и подготовки не требует. Такая процедура абсолютно безболезненна для пациентки и не несет никакого вреда для эмбриона.
Внутреннее УЗИ делают на ранних сроках (5-я, 6-я акушерская неделя). Поскольку датчик оказывается максимально близко к матке и ее придаткам, картинка выходит более четкой. Определить беременность на пятой неделе беременности обычно может только трансвагинальный ультразвук.Кроме того, трансвагинальное исследование обязательно назначают при подозрении на внематочную беременность, угрозе выкидыша, если необходима постоянная диагностика состояния яичников и шейки матки и т.д.
Показания для УЗИ на 5-й неделе
задача УЗИ на пятой-шестой неделях беременности – определить наличие плодного яйца и его локализацию (в матке или за ее пределами).
Обычно инициаторами ультразвук становятся нетерпеливые мамочки, которые хотят как можно скорее подтвердить счастливый диагноз.
Если задержка менструации составляет от 7-10 дней, а акушерский срок беременности – 5 недель и больше, УЗИ обязательно ее подтвердит.
В некоторых случаях лечащий врач сам отправляет пациентку на УЗИ после внешнего осмотра. Это происходит в следующих случаях:
- подозрение на внематочную беременность;
- возможность самопроизвольного аборта;
- опасные симптомы (тянущие боли внизу живота);
- подозрение на имитацию зачатия (бывает при различных опухолях);
- вероятная многоплодная беременность;
- необходимость оценки состояния придатков при миоме и других патологиях (если женщина не делала УЗИ до этого);
- чтобы исключить замершую беременность.
Ультразвук во время беременности – важнейший метод диагностики, который может всесторонне оценить состояние мамы и малыша, особенности развития плода, помочь в выборе тактики ведения беременности и будущих родов.
Тем не менее опытные врачи не советуют увлекаться УЗИ и проводить его каждую неделю-две.
Лучше всего делать плановые сканирования в рекомендованные сроки, а к ультразвуку на 5-й неделе прибегать только по медицинским показаниям.
Источник: http://UziGid.ru/beremennost-nedely/uzi-na-5-j-nedele.html
Узи на 5 неделе беременности: фото, норма

5 недель – это срок, на котором многие будущие мамы впервые отправляются на УЗИ. Задержка менструаций к этому времени составляет уже около 10-14 дней, так что ее нельзя списать на случайность.
Вторая полоска на тестах становится все ярче, что тоже совсем не похоже на ложный результат. Кроме того, в это время зачастую проявляются первые признаки «интересного положения», оказывающие влияние на самочувствие женщины.
Возможные сомнения по поводу вероятной беременности рассеиваются, остается лишь подтвердить ее документально, для чего мамы и записываются на исследование.
Беременность 5 недель на УЗИ
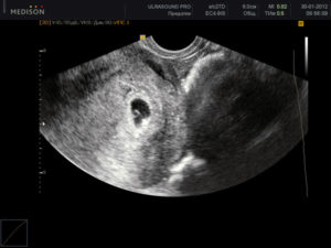
К этому времени матка уже начинает заметно (по крайней мере, для врача-ультрасонолога) увеличиваться относительно своего прежнего состояния, ведь внутри нее находится плодный пузырь диаметром более 1 см, что составляет примерно ¼-1/5 часть ее «добеременного» размера. Правда, на этом сроке увеличение часто происходит не равномерно, а асимметрично: стенка, к которой прикреплен пузырек с эмбрионом, приобретает выпуклость, а остальная часть органа пока что остается прежней.
При визуализации матки без увеличения пятинедельная беременность видна на экране в виде округлого или овального пузырька. Однако общая картина уже отличается от той, что специалист мог наблюдать, например, на 3 неделе. Меняется не только размер плодного яйца, но и его содержимое: внутри при увеличении изображения в несколько раз можно разглядеть желточный мешок и сам эмбрион.
Более того; на 5 неделе у ребенка уже начинает биться сердце, что опытный специалист, работающий на хорошем оборудовании, обязательно определяет.
В яичнике, откуда вышла яйцеклетка, которой «повезло» стать эмбрионом, заметно желтое тело, и это еще одно свидетельство развивающейся беременности.
Вредно ли УЗИ на таком сроке?
Процедура УЗИ на данном сроке проводится во всех клиниках и может быть выполнена по желанию женщины; как правило, пациенток не пытаются уговорить подождать еще какое-то время и прийти попозже, ведь вред от ультразвука не доказан.
Тем не менее, среди будущих мам многие относятся к раннему исследованию с настороженностью, ведь в научных кругах периодически обсуждаются вопросы о возможном вреде этого метода диагностики, если он проводится в первые недели вынашивания. Однако на сегодня однозначная опасность УЗИ так и не подтверждена.
Даже если эта методика и может нанести какой-то непоправимый ущерб беременности, то это еще долго не удастся выяснить, потому что в большинстве случаев самопроизвольные выкидыши как раз происходят на ранних сроках.
Это маскирует причины случившегося: ведь часто бывает непонятно, чем именно это вызвано в том или ином случае – генетическими пороками, скрытыми инфекциями, гормональными расстройствами или проведением вредного метода исследования.
Повторим: пока что возможный вред УЗИ в расчет не берется, и оно считается безопасным исследованием!
Как выглядит малыш
Он пока не такой большой, чтобы можно было хорошо его разглядеть: КТР, или копчико-темменной размер зародыша, составляет всего 1,5-2,5 мм.
Однако общая конфигурация его тела уже становится такой, что можно предположить, с какого его конца в недалеком будущем будет располагаться голова малыша, а с какого – его ножки.
Кстати, как раз в это время у ребенка появляются зачатки конечностей в виде пузырьков.
У малыша бьется сердце, а сам он довольно активно двигается, что позволяет специалисту УЗИ сделать вывод о его жизнеспособности и прекрасном самочувствии (частота сердцебиений является показателем нормального состояния зародыша). Происходят активные процессы закладки внутренних органов: формирование центральной нервной системы, пищеварительного тракта, скелета, сосудов.Возможные патологии на УЗИ в 5 недель
Вообще, обычно УЗИ на этом сроке – процедура малополезная. Не в том плане, что она вредна, а в том, что дает мало ценной информации.
Так что, если беременность течет нормально, а будущую маму ничего не беспокоит, без этого исследования вполне можно обойтись.
Но не в том случае, если у пациентки предполагается нарушение течения беременности; тогда ультразвуковая диагностика становится весьма ценной.
УЗИ не позволяет рассмотреть аномалии строения зародыша, но «видит» такие расстройства, как отслойка плодного пузыря или гипертонус матки. Кроме того, оно помогает выявить внематочную беременность.
С этими состояниями шутки плохи, женщин, у которых они были выявлены, надо направлять на соответствующее лечение.
Посему можно сказать, что в подобных случаях ультразвук способствует более раннему выявлению проблемы и позволяет минимизировать ее последствия для здоровья пациентки.
Внимание! Если на сроке 5 недель УЗИ не визуализирует эмбрион внутри плодного пузыря, а Ваш врач говорит об анэмбрионии (замершей беременности на раннем сроке) и выдает Вам направление на выскабливание, не спешите слушаться. Лучше повторите процедуру через 7-10 дней еще раз.
Вероятно, возможности аппарата УЗИ, на котором Вас обследовали, слишком скромны для того, чтобы увидеть Вашего малыша. Этот совет тем более актуален, если Вы нормально себя чувствуете, у Вас нет сильных болей в животе и кровянистых выделений – признаков угрозы выкидыша.
Как чувствует себя будущая мама
На 5 неделях единственными жалобами большинства женщин являются ощутимая задержка менструаций и, у некоторых, начальные проявления токсикоза.
Ваши действия на 5 неделе беременности
Если Вы чувствуете себя хорошо, обращаться к врачам, да, собственно, и идти на УЗИ, еще рано. Правильно питайтесь, ведите здоровый образ жизни, не допускайте переутомления и сильных физических нагрузок, пейте фолиевую кислоту – и все будет так же замечательно и в дальнейшем.
Источник: http://analizi-uzi.com/uzi-na-5-nedele-beremennosti-foto-norma.html
Узи на 5 неделе беременности

Пятая неделя беременности – это достаточно интересный период в жизни женщины. Большинство женщин может и не догадываться о наступившем интересном положении. Конечно, в последнее время все больше пар, стараются спланировать зачатие ребенка заранее. Но все же преобладающее большинство беременностей являются большим сюрпризом.
УЗИ на 4-5 неделе беременности не является обязательным плановым обследованием. Как правило, по положениям Министерства Охраны Здоровья населения, ультразвуковая диагностика проводится в плановом порядке трижды за всю беременности. Но это положение имеет место быть в том случае, если беременность протекает без каких-либо отклонений.
Первое УЗИ в норме проводиться не ранее 10-11 недели беременности вместе с первым скринингом. Но, несмотря на это, все же большинство женщин озадачены вопросом о том делают ли Узи на 5 неделе беременности? Стоит отметить, что проведение ультразвуковой диагностики возможно на любом из сроков беременности.
Необходимо поставить вопрос иначе, а покажет ли УЗИ 5 недель беременности?
В настоящее время широко распространено оплодотворение с помощью применения вспомогательных технологий репродукции. Одним из максимально приближенных к естественному способу оплодотворения является метод искусственной инсеминации спермой.
Подтверждением того, что в результате данного метода произошло слияние половых клеток, является эмбрион. На 5 неделе беременности УЗИ с большой вероятностью определить наличие имплантации эмбриона в полости матки.
Таким образом, из вышесказанного можно сделать вывод о том, что сроки проведения ультразвуковой диагностики могут варьировать. Все зависит от показаний в каждом индивидуальном случае.
А значит, ультразвуковая диагностика на пятой неделе беременности проводиться согласно следующим показаниям:
- когда имеются подозрения о наступлении нежелательной беременности. Подтверждение наступления беременности в данный период позволяет провести ее медикаментозное прерывание. Также ранняя диагностика беременности необходима в тех случаях, когда у женщины имеются противопоказания к вынашиванию плода;
- наличие признаков, указывающих на развитие внематочной беременности, что также важно для ранней диагностики и своевременной терапии патологического процесса. Это позволит устранить патологию без нанесения существенного ущерба здоровью женщины в целом и сохранит ее репродуктивную функцию;
- внезапное появление кровотечения из влагалища, которое сопровождается выраженным болевым синдромом, но при этом во время проведения теста на полосках определялась вторая, которая подтверждает беременность. Стоит отметить, что срок 5 недель беременности (УЗИ срок) является одним из критических периодов дальнейшего развития эмбриона;
- для подтверждения фактического наступления беременности, которая наступила в результате применения вспомогательных технологий репродукции, таких как ИКСИ или ЭКО;
- наличие положительного теста на беременность, несмотря на использование женщиной внутриматочного контрацептива, а именно внутриматочной спирали;
- для подтверждения нормального развития беременности, если первое ультразвуковое исследование проводилось ранее на 2-3 неделе беременности;
- при утвердившейся беременности с целью определения количества плодов и их места прикрепления.
Диагностируя беременность 5 недель можно УЗИ исследование провести несколькими способами. Как правило, на таком сравнительно небольшом сроке наиболее информативным является метод трансвагинального исследования. Данный метод основан на введении специального датчика во влагалище, предварительно одев на него защитный кондом.
Метод безболезненный и безопасный, как для женщины, так и для будущего малыша. Во время проведения исследования, женщина оголяет нижнюю часть тела, и размещается на кушетке, согнув ноги в коленях.
Для более четкой визуализации ультразвуковой картины женщине желательно заранее подготовиться, исключить на пару дней до процедуры продукты, вызывающие газообразование. Это необходимо для того, чтобы скопившиеся в петлях кишечника газы не препятствовали осмотру полости матки.Трансвагинальное Узи на 5 неделе беременности проводиться без необходимости наполнения мочевого пузыря. Также на таком сроке делают трансабдоминальное исследование, но плод на 5 неделе беременности УЗИ, проведенное через брюшную стенку может и не показать.
Узи на 5 неделе беременности: что видно
На пятой неделе беременности происходит закладка нервной системы, поэтому во время ультразвуковом исследовании можно увидеть группу клеток вдоль эмбриона, которые ближе к концу 12 недели беременности преобразуются в спинной мозг.
А на одном из концов этой эмбриона можно рассмотреть небольшой узелок – это будет мозг. На этом этапе формирования у эмбриона появляются зачатки позвонка.
Опытный врач во время исследования увидит глазные впадины, на месте которых в дальнейшем образуются глаза, также по бокам виднеются маленькие ямки — это будет внутреннее ухо. Появляются зачатки верхних и нижних конечностей.
На УЗИ в 5 недель беременности, увидеть будущего ребенка сложно, скорее это похоже на головастика, находящегося в оболочке с жидкостью. Это так называемое плодное яйцо с внезародышевыми структурами. К ним относят хорион, амнион и желточный мешочек. Во время ультразвукового исследования врач определяет диаметр плодного яйца, который в норме на данном сроке составляет около 4 мм.
Необходимо учесть, что данный размер с каждым днем увеличивается и на сроке 5 недель и 5 дней беременности, УЗИ аппарат определит размер плодного яйца достигшего к этому времени 7 мм. Также одним из важнейших исследуемых показателей нормального развития эмбриона является выслушивание приглушенного неравномерного сердцебиения.
Крохотное сердечко начинает биться уже начиная с 21-го дня своего существования.
Как выглядит беременность 5 недель на УЗИ
Как правило, на 5-ой неделе беременности эмбрион соответствует 3-4 неделе гестационного срока беременности. На этом сроке при ультразвуковой диагностике с точностью можно определить развивающуюся беременность. Зародыш на этом сроке приобретает форму, которая позволяет определить срок беременности.
Несмотря на то, что в матке пока не произошло кардинальных изменений, она начинает приобретать округлую форму характерную для беременности. Она увеличивается в размере и квалифицированный врач с большим опытом работы, может сказать о беременности без ультразвукового подтверждения.
К тому же, при нормально развивающейся беременности ткани матки становятся более мягкими, а сама она приобретает синюшный оттенок. Это связано с тем, что в ее стенка усиливается кровоток.
Узи на 5 неделе беременности позволяет определить количество эмбрионов, находящихся в полости матки, их размеры, а также размеры матки. Заметна асимметрия полости матки, так как на месте имплантации зародыша стенка матки утолщается.
Как правило, на данном сроке у эмбриона появляются активные колебания, которые говорят о дальнейшей его жизнеспособности. Кроме того при хорошем ультразвуковом аппарате грамотный специалист может прослушать сердцебиение, которое в соотношении с двигательной активностью дает прогноз о дальнейшем развитии беременности.
Нормальные показатели частоты сердечных сокращений у эмбриона данного срока составляют 152-160 ударов в минуту.
5 недель беременности: фото плода на УЗИ
На этом сроке размер эмбриона значительно увеличился и теперь его размер составляет около 10 мм. С каждым днем он будет все активнее и активнее расти, приобретая привычный человеческое обличье. Сейчас эмбрион выглядит, как С-образное образование.
Но присмотревшись можно уже отличить, где будет голова, а где появятся конечности. Сделанное фото-УЗИ на 4-5 неделе беременности для родителей не будет настолько информативным, как для врача.
Но для родителей это отличная возможность сохранить в фотоальбоме момент первого знакомства с их малышом. И пусть на фото будет видна лишь маленькая горошинка на черном фоне, окруженном тонкой белой линией, зато это самое дорогое, чего ожидает каждая женщина.Ультразвуковая фотография на данном сроке – это возможность подтверждения, оценки и предупреждения патологий в жизни растущего эмбриона.
Вредно ли узи на 5 неделе
Многие женщины склонны считать, что Узи на 5 неделе беременности вредно. Принцип работы ультразвукового аппарата основан на высокой частоте колебаний звуковых волн, которые ударяясь об органы, отражаются и визуализируются на экране.
Как правило, метод ультразвукового исследования является совершенно безболезненным и безвредным.
Многие годы ученые проводили опыты на зародышах животных и пришли к выводу, что значимость проведения УЗИ на данном сроке превышает возможность нанесения вреда плоду.
Итак, вредно ли Узи на 5 неделе беременности?
Со 100% точностью говорить о вреде данного метода исследования невозможно. Не стоит забывать об индивидуальности каждого организма. К тому следует учитывать общее состояние женщины и отдельно половой системы (особенно матки).
Также большую роль играет тот момент, что у некоторых женщин чувствительность матки слишком высока и при прохождении ультразвуковых волн наступает возбуждение тканей, что приводит к ее тонусу. А тонус матки на таком сроке в свою очередь грозит прерыванием беременности.
Поэтому большинство врачей настоятельно без явных причин и показаний не проводить ультразвуковую диагностику ранее 11 недели беременности. С точностью можно говорить о том, что на таком сроке и далее метод не может повлиять на развитие плода.
: 5 , 6 недель
Источник: https://prodiagnostics.ru/uzi-na-5-nedele-beremennosti.html
5 (7 акушерских) недель беременности (УЗИ): как выглядит эмбрион на фото?

Пятая неделя – это период, когда беременность уже можно определить. Задержка месячных составляет уже недели две, самочувствие меняется, на тесте, как правило, хорошо заметна вторая полоска. Опасно ли делать УЗИ на 5 (7 акушерской) неделе беременности и о чём оно может рассказать, давайте поговорим.
Зачем делать и кому рекомендуется УЗ-диагностика?
На пятой неделе беременности УЗИ может дать не так много информации. В этот период исследование нужно для того, чтобы подтвердить, что задержка месячных изменение самочувствия совсем не случайны.
Многие врачи полагают, что первое ультразвуковое обследование будущая мама может сделать и позже, чем на пятой-шестой неделе беременности (и оно уже будет более информативным).
Исключение составляют только те мамы, у которых предполагаются нарушения в протекании беременности.
Также УЗИ на таких сроках нужно тем, у кого раньше была внематочная беременность, для того, чтобы предупредить замершую беременность и как одна из частей пренатального генетического скрининга.
Состояние мамы и развитие плода в этот период
На 5 неделе беременности у ребенка уже сформировалась нервная трубка и начинает биться сердце, кроме того, в это время активно формируется кровеносная система, в том числе и сердце, и заработает она совсем скоро.
Продолжают формироваться все внутренние органы, кости и нервная система. Начинают развиваться щитовидка, поджелудочная и надпочечники. Более того, они уже выделяют первые гормоны, например, тиреоглобулин. С пяти недель зародыш может называться эмбрионом, так как вступает в эмбриональную фазу развития.
Размер плода сейчас составляет 2-3 миллиметра.
Что же касается состояния мамы, то в нем тоже есть серьезные перемены. В этот период могут давать о себе знать все признаки беременности:
- может тянуть живот;
- вялость, постоянная усталость;
- постоянные перемены в настроении;
- тошнота;
- боль в молочных железах;
- частые позывы по-маленькому;
- изменения аппетита;
- постоянная сонливость;
- менструации могут быть, но достаточно скудные (их наличие пока не является плохим симптомом);
- чувствительность к запахам.
Но и отсутствие любых признаков и изменений в самочувствии на пятой неделе беременной является нормой.
Важно! В этот период велик риск выкидыша, кроме того, формируется нервная система плода, а значит, мамам нельзя нервничать.
Что покажет УЗИ?
На пятой неделе специалист-ультрасонолог уже отлично видит, что матка увеличилась. Но это увеличение пока может быть не совсем равномерным: так, может увеличиваться и стать выпуклой только стенка, на которой закрепился пузырек с эмбрионом.
Плодный пузырь уже видно отлично, его размеры составляют около сантиметра. Если же увеличить изображение плодного пузыря, то можно будет увидеть и сам плод, и желточный мешок. Хороший специалист способен распознать на УЗИ даже биение только формирующегося сердца плода.
А вот в яичнике, из которого вышла яйцеклетка, которую удалось оплодотворить, можно увидеть желтое тело. Это еще одно подтверждение того, что беременность наступила.
На этом сроке конфигурация плода уже позволяет делать предположения, где будет располагаться его голова, а где – нижние конечности. Кстати, их зачатки тоже уже появились, но имеют форму пузырьков. Обычно пятинедельный плод активно двигается, что позволяет специалисту сделать вывод о его здоровье и правильном развитии.А вот аномалии в строении плода ультразвуковое обследование пока рассмотреть не позволяет. Зато оно может рассмотреть отслойку плодного пузыря, внематочную беременность или гипертонус матки.
Во время УЗИ специалист обязательно должен измерить и зафиксировать копчико-теменные размеры плода, а также его положение в полости матки, состояние желтого тела, яичников и миометрия. Все эти данные позволят рассчитать размеры малыша и примерную дату его рождения.
Важно! Если при сроке в пять недель эмбриона не видно в плодном пузыре и врач подозревает замершую беременность, но вы чувствуете себя нормально (нет болей и выделений с кровью) не спешите делать выскабливание. Проверьтесь на УЗИ еще через десять дней (минимум через неделю).
Также на сроке в 5 недель можно уже увидеть, ждёт будущая мама одного малыша или у неё будет двойня. Отличие в том, что плодных яйца будет два, а не одно.
Как делают?
УЗИ в этот период можно делать как при помощи датчика абдоминального, так и трансвагинального.
В первом случае матку и придатки осматривают через брюшную стенку, во втором – при помощи тонкого и длинного датчика, который вводят во влагалище.
Во время обследования маме показывают эмбрион и делают замеры плодного яйца.
После делается протокол обследования, который отдают будущей маме.
Подготовка к исследованию
Она достаточно проста:
- Не забудьте записаться и провести перед исследованием нужные гигиенические процедуры.
- За пару часов до УЗИ выпейте постепенно полтора литра воды. В туалет пока ходить нельзя, так как для исследования нужен наполненный мочевой пузырь.
- Также не забудьте о пеленке, бахилах и полотенце.
- Запишите все свои вопросы врачу (обычно в кабинете половина из них стабильно забывается).
Что видно на фото в 5 (7 акушерских) недель?
Как уже сказано было выше, иногда УЗИ может ничего не показать. Если же уровень ХГЧ при этом нормальный, а экспресс-тесты стабильно показывают беременность, беспокоиться не стоит: внематочную беременность на подобных сроках уже вполне можно заметить. На фото в этот период тоже нередко бывает трудно что-то разглядеть.
Фото УЗИ на данном сроке может быть размытым, а сам эмбрион на нем напоминать формой креветку или маленький цилиндрик. Если снимок и аппарат качественные, то можно будет увидеть хвостик эмбриона и его головку, а также зачатки ручек и ножек, а иногда даже ротовой и носовой щелей, глазок, пальцев и ушных раковин. Что же касается матки, то она своей формой должна напоминать яйцо.
Нормы УЗ-исследования
Получив протокол УЗИ на руки, будущей маме необходимо обратиться к своему гинекологу для расшифровки результатов.
На сроке в 5-6 недель они должны быть следующими:
- размер эмбриона – от 2 до 3 мм;
- размер желточного мешка – 4-5 мм (если он больше 6 мм, это может свидетельствовать о патологии);
- размер плодного яйца – около одного сантиметра;
- частота сердцебиения – от 70 до 100 за 60 секунд.
Других показателей на таком сроке пока быть не может.
Противопоказания
Само по себе обследование на столь раннем сроке можно назвать условным противопоказанием. Точнее, врачи не советуют проводить такое раньше десяти недель УЗИ: много не увидишь, пол и подавно определить нельзя, патологии дают о себе знать только на более поздних сроках.
Об исключениях, при которых УЗИ на таком сроке будет нужно, написано выше.
Трудно сказать, принесет ли УЗИ вред эмбриону, ведь нет ни доказательств вреда, ни их опровержений. Так что, если есть возможность, записывайтесь на первое ультразвуковое исследование на сроке около десяти недель и не беспокойте растущий плод без особой на то нужды: 4-5 обследований за девять месяцев вполне хватит.
Где можно сделать и стоимость?
УЗИ при беременности делают во всех больницах (и в частных, и в государственных) и перинатальных центрах. Лучше выбирать те, которые оборудованы самой современной и чувствительной техникой. Стоимость – от 3000-4000 тыс. рублей за сеанс.
Заключение
Пять недель беременности – не лучший срок для проведения ультразвукового обследования и врачи не рекомендуют делать это обследование. Единственное, что может сказать УЗИ точно на сроке пяти недель, это есть ли беременность, или нет. Уместным оно будет только в том случае, если у мамы были проблемы с беременностью раньше.
Источник: https://MediGid.com/uzi/beremennost/1-trimestr/5-nedelya.html
Особенности развития эмбриона
В отличие от гестационного срока беременности, идущего от момента зачатия, акушерский высчитывается от начала менструального цикла (последних месячных). Как правило, оплодотворение происходит на самой середине цикла – в период овуляции. Поэтому 5 акушерская неделя приравнивается к 3 гестационной или эмбриональной.
Окружность плодного яйца с эмбрионом внутри в этот период имеет диаметр не более 10 мм, при этом сам ребенок всего длиной 1,5–2,5 мм, что приблизительно идентично размеру кунжутного семени.
Но его рост на данном этапе стремителен и уже к 6 неделям эмбрион в большинстве случаев достигает 5 мм.
На 5–6 неделе беременности при исследовании ультразвуковыми волнами можно разобрать, где у плода головной, а где хвостовой конец и где будет его спинка, а где животик.
Несмотря на то что эмбрион в это время имеет пока плоскую форму, он уже является трехслойным полноценным организмом. Так, его образует:
- Эктодерма – наружный зародышевый слой (листок), из которого впоследствии сформируется мозг, позвоночник, нервная система, эпидермис и все его производные (ногти, волосы, зубы), а также эпителиальная ткань отделов ЖКТ и др.
- Мезодерма – средний зародышевый слой (листок), будущая основа для развития скелетных мышц, костно-хрящевого аппарата, сердечно-сосудистой и лимфатической системы, брюшины, плевры и т. д.
- Эндодерма – внутренний зародышевый слой (листок), из которого будут сформированы желудок, поджелудочная железа, кишечник, печень, щитовидная и паращитовидная железы, мочеполовая система, легкие.
Нервная трубка – проходит вдоль всего тела эмбриона, и впоследствии разделится на центральную и периферическую нервные системы
5–6 неделя беременности – очень важный и ответственный период в развитии ребенка, имеющий название органогенез. На этом этапе идет формирование нервной трубки, которая впоследствии станет головным и спинным мозгом.
Закладываются такие органы, как легкие, печень, кишечник и остальные. Развиваются половые железы (семенники), вырабатывающие гормон тестостерон.
Если выработка его будет недостаточной, то плод разовьется с женскими половыми признаками.Справка! На 4–5 неделе УЗИ фото плода еще не показывает такие тонкости развития. Но зато современная аппаратура даст возможность врачу и родителям услышать сердцебиение малыша, которое начнет биться уже на 6 неделе.
Размеры плода на этом сроке крошечные, но зато он растет и развивается буквально по часам. Сейчас он похож на маленькую ракушку, и у него еще даже не успело сформироваться личико.
Но при этом уже постепенно образуются складочки в местах расположения ушек и носа, и становятся более выраженными глазные ямочки.
Для данного периода характерен стремительный рост конечностей, и уже по окончании 6 недели будет несложно рассмотреть ножки и ручки.
Теперь ребенок может передвигаться в околоплодных водах, так как мышечная ткань развилась уже достаточно, чтобы реагировать на импульсы нервной системы. Малыш уже в состоянии поворачивать голову и двигать конечностями в разные стороны, но мама ощутить его движения сможет только по наступлению 20 недели. Кроме этого, плод уже способен реагировать на внешние раздражители.
Пол ребенка, конечно же, узнать не получится, так как половые органы еще только начинают формироваться, а вот обрадовать или озадачить будущих родителей тем, что растет и развивается двойня или даже тройня будет уже легко. Несмотря на то что размер плода не больше горошины, его маленькое сердечко уже бьется, но без ультразвука его услышать не получится.
В норме сердцебиение малыша намного чаще, чем у взрослых людей и составляет в среднем 150–160 ударов за одну минуту. Это наилучшее свидетельство, того что по маленькому организму уже происходит циркуляция крови.
В это время начинает активно развиваться плацента – своеобразный источник питания ребенка кислородом и необходимыми веществами. Кроме этого, плацента станет ему надежной защитой от повреждений.
Окончательно формирование детского места произойдет к завершению первого триместра беременности приблизительно к 11–12 неделям.
Цели обследования
В некоторых случаях УЗИ в пять недель беременности – очень важное диагностическое мероприятие, потому что покажет процедура не только наличие самого зачатия, но и место его локализации. Это позволит избежать таких опасных последствий, как, например, разрыв маточной трубы при внематочной беременности и других ситуаций, которые могут оказать негативное влияние на женский организм.
На подобное обследование направляет акушер-гинеколог, после предварительного осмотра, подозревая наличие беременности.
Конечно, эмбрион на этом сроке еще очень мал, чтобы дать оценку развитию его зачаточным органам, отследить риски развития патологий и узнать пол, но от этого ценность исследования не уменьшается.
В это время размер плода не позволяет определить его важные параметры, такие как КТР (копчиково-теменной размер), и остальных составляющих фетометрии, но зато при помощи ультразвука можно ответить на другие вопросы.Многоплодная беременность на снимках УЗИ
УЗИ в 5 недель преследует следующие цели:
- подтвердить или опровергнуть факт наличия беременности;
- установить место закрепления эмбриона – в полости матки или вне ее;
- определить число плодных яиц, расположенных в матке;
- уточнить возраст ребенка по копчиково-теменному размеру;
- оценить по сердцебиению жизнеспособность эмбриона;
- проверить состояние околоплодных вод и плаценты;
- дать оценку экстраэмбриональным структурам (желточному мешку, хориону, амниону).
Так как делать УЗИ на этом сроке беременности не является обязательным по положениям МОЗ, то споры о его влиянии до сих пор не утихают.
Определенный контингент женщин склоняется к утверждению, что обследование, проведенное на начальных этапах вынашивания ребенка, может негативно сказаться на его развитии.
Но при этом им не стоит забывать о том, что на сегодня УЗ-диагностика признана самым безопасным из известных исследований.
К тому же в первом триместре беременности только при помощи ультразвука можно вовремя обнаружить опасные нарушения в развитии эмбриона, что позволит принять необходимые меры как можно быстрее. Поэтому женщине, получив на 5 неделе направление, не стоит раздумывать, можно ли делать УЗИ или нельзя, а безотлагательно посетить диагностический кабинет и пройти процедуру.
Какие патологии определяет УЗИ на 5 неделе?
На 1 и 2 плановых УЗ-скринингах, проводимых соответственно на 11–12 и 21–23 неделях врачам удается выявить достаточно большой спектр отклонений в развитии плода. К ним относятся хромосомные аномалии, врожденные пороки и другие нарушения. В срок 5 недель закладка внутренних органов ребенка только начинается, и на УЗИ еще не видно патологических изменений.
Когда на УЗИ можно услышать сердцебиение плода?
Самая главная задача этой диагностики – определить присутствие нарушений протекания беременности и оценить общее состояние женщины.
По фото УЗИ на 5–6 неделе можно выявить внематочную и замершую беременность, пузырный занос – аномалию развития эмбриона, гипертонус матки (при нормальном состоянии тонус снижен), отслойку плаценты, наличие кровяных сгустков в матке, что является угрозой выкидыша.
Но все же самым основным показанием для назначения УЗ-осмотра в этот период является подозрение на прикрепление плодного яйца вне полости матки.
Кроме нормального расположения эмбриона в маточной полости, он может закрепиться в фаллопиевых трубах, шейке матки, яичниках, и иногда даже в брюшине.
По мере роста примерно к 8 неделе плодное яйцо способно разорвать маточную трубу, что может повлечь серьезные осложнения для организма женщины.Чтобы сделать вовремя операцию по удалению эмбриона из трубы, необходимо в 5–6 недель провести ультразвуковое обследование – единственный способ увидеть данную патологию.
Какие методики применяются?
Для обследования на данном этапе беременности используются две ультразвуковые методики – трансабдоминальная и трансвагинальная. Врач выбирает в каждом конкретном случае одну из них, чтобы обследование показало наиболее информативные результаты. В некоторых спорных случаях делают процедуру двумя способами, что позволяет минимизировать риски ошибки.
Трансабдоминальное или как его еще называют внешнее сканирование, проводится через поверхность брюшной стенки в области малого таза, где расположены женские репродуктивные органы.
Пациентка освобождает низ живота от одежды и укладывается на кушетку, а диагност наносит специальный гель на излучатель и начинает водить им по проекции матки.
Гель используется для снижения трения и улучшения контакта с поверхностью кожи, что позволяет получить наиболее точное изображение.
Картинка исследуемых органов, которую «видит» ультразвук, выводится на экран монитора, и в ходе исследования изучается врачом.
Подготовка к такой диагностике очень проста – учитывая, что на нее нужно прийти с наполненным мочевым пузырем, за 1–1,5 часа обследуемой потребуется выпить не менее 0,5 литра жидкости.
Такой способ ультразвукового осмотра в 5 недель проводится гораздо реже, но зато на 11–12 неделе врач порекомендует пройти именно его.
Внематочная беременность, закрепившаяся в яичнике Трансвагинальная или внутренняя ультразвуковая диагностика выполняется посредством ввода специального датчика малого размера во влагалище.
Для этой процедуры подготовка не потребуется, так как датчик будет находиться близко к матке и для хорошей визуализации этого будет достаточно.
Поэтому пить жидкость для наполнения мочевого пузыря перед обследованием пациентке не понадобится. Такой вид диагностирования абсолютно безболезненный для будущей мамы и безвредный для ребенка.
Трансвагинальное УЗИ в большинстве случаев назначается на начальных сроках – 5 и 6 акушерская неделя. Близкое расположение излучателя к матке и ее придаткам дает возможность получить максимально четкий снимок и хорошо изучить органы в динамике. Как правило, подтвердить беременность на этом периоде доступно только методике, выполняемой через влагалище.
Также данная процедура проводится при подозрении на угрозу самопроизвольного аборта, внематочную беременность, необходимости постоянной проверки состояния шейки матки и яичников или же других репродуктивных органов женской половой сферы. Продолжительность обследования составляет не более 10–15 минут, затем проводится расшифровка материалов, и результаты врач отдает пациентке уже через 10–20 минут.
Первое, что должна сделать женщина, подозревая у себя наличие беременности – это посетить женскую консультацию. После того как она получила положительный результат теста, необходимо подтвердить свое «интересное положение» при осмотре гинеколога. Даже планируя рожать, что некоторым позволяет посетить специалиста позже, все равно не стоит откладывать визит в больницу.
Такое промедление может стоить достаточно дорого в плане здоровья, ведь внематочная беременность – явление довольно распространенное, и разрыв и удаление маточной трубы наполовину уменьшает вероятность забеременеть в следующий раз. А потеря второй фаллопиевой трубы оставляет возможность только экстракорпорального оплодотворения, что намного хлопотнее и стоит дорого.
УЗИ на ранних периодах беременности поможет избежать многих негативных ситуаций – к примеру, провести на 5–6 неделе малоинвазивную операцию при помощи лапароскопии, что позволит сохранить маточную трубу.
Или вовремя распознать замершую или аномальную беременность, и быстро избавиться от нее. Вариантов достаточно много, но все они решаемы только при полном доверии врачам и диагностическим обследованиям.
Источник: https://apkhleb.ru/uzi/5-nedele-beremennosti


