У кого 5 неделя беременности
5 неделя беременности — что происходит в организме женщины

На 5 неделе беременности преодолевается определенный рубеж. Это означает окончание первого месяца и начало второго, при котором существенно разнятся ощущения женщины, меняется сам плод. Попробуем систематизировать изменения, которые происходят на этом строке.
5 неделя беременности
В теле женщины видимых изменений практически не наблюдается и для окружающих ее положение пока остается незаметным. В это время не все женщины подвержены токсикозу, поэтому ранняя стадия беременности может пройти легко и без каких-либо проблем. Но не всегда так бывает. Токсикоз на ранних стадиях беременности явление вполне нормальное, вызванное особенностью организма.
Ощущения женщины на 5 неделе беременности
В первую очередь обостряются эмоции, которые заставляют волноваться по незначительным пустякам и «делать из мухи слона», такое состояние может продлиться до самых родов и к этому следует быть готовым. Это вполне закономерно, вызвано изменением гормонального фона и началом перемен в самом организме, готовящегося к вынашиванию плода.
Состояние будущей мамы
На рубеже 5 недели начинает беспокоить легкое недомогание. От ранее привычного ритма жизни сейчас уже наступает быстрое утомление. Утро часто встречает головными болями, тошнотой, иногда даже рвотой.
Обостряется обоняние, могут быть изменения вкуса, при котором ранее предпочитаемые блюда вызывают отвращение и наоборот, ранее не любимые становятся желанными.
Для борьбы с тошнотой рекомендуется избегать резких запахов, а в час пик вовсе временно отказаться от приготовления пищи, переложив эту обязанность на близких.
Интимная жизнь
Если не обнаружено никаких отклонений, на 5 неделе беременности противопоказаний к занятию сексом нет.
Но следует помнить, что боль в области низа живота, выделения, а также ноющая постоянная боль являются сигналом к прекращению интимных отношений и обращению к врачу.
Нужно помнить, что на ранних сроках вероятность прерывания беременности остается достаточно высокой и не следует ее провоцировать. Кроме того важно знать:
- женская грудь в это время особо чувствительна;
- позу для сна и секса приходится выбирать и заново приспосабливаться;
- иногда прикосновения к груди и соскам могут вызвать боль или неприятные ощущения.
Все это необходимо знать мужьям во избежание конфликтных ситуаций в будущем.
Что происходит в животике у мамы все 9 месяцев беременности? Как развивается малыш? Все самое интересное далее в картинках.
Самое сильно желание каждой девушки — держать на руках своего малыша! Как же поскорей добиться желаемого? Все ответы на ваши вопросы, вы найдете здесь.
Прихоти беременной женщины
Этому разделу можно посвятить целую книгу с примерами и анекдотичными ситуациями. Но мы отметим, что 5 неделя ввиду гормональных и эмоциональных изменений в организме женщины полна сюрпризов для близких и окружающих ее людей.
И дело здесь не в соленых огурцах и квашеной капусте, даже шоколад вполне приемлем, а вот жажда во что бы то ни стало в 3 часа ночи отведать крыжовника в декабре или свежей клубники могут вызвать замешательство.
И к таким ситуациям нужно быть готовым, предварительно запасаясь всевозможными ягодами в сезон их созревания.
Состояние слизистых оболочек
Признаком ранней стадии беременности является также увеличение объема выделений слизистыми оболочками организма. Повышенное слюноотделение, эффект «заложенного носа», насморк и т. д. Все эти неприятности следует перетерпеть, поскольку применение фармацевтических средств на ранних стадиях крайне не рекомендуется в виду опасности срыва беременности.
Развитие плода
В это время плод уже приобретает некие черты, отличные от первоначальной формы диска. Сейчас он уже больше напоминает цилиндр в 2-2,5 мм в виде небольшой дуги.
Удивительно, но в этом цилиндрике уже легко можно предугадать места появления ножек и ручек, живота и головы, явно виден будущий хребет и нервная трубка вдоль него.
Центр эмбриона представлен сгустком, в котором зарождается будущий центр всего организма – сердце.
Постепенно начинают проявляться кровеносные сосуды, печень, железы, закладываются основы скелета. В головной части наблюдаются места будущего расположения глаз и ушей, формируется щитовидная железа. Зародыш в утробе матери защищен несколькими оболочками и носит название желточного мешка (напоминает пузырь), в котором происходит таинство создания нового человека.
В целом наблюдать за развитием плода чрезвычайно интересно, в такие минуты понимаешь величайшую мудрость природы и всемогущество вселенной.
Увеличение веса на 5 неделе беременности
Многие женщины комплексуют по поводу увеличения веса, но делать этого не следует, поскольку это связано с перенастройкой организма. Дальше в ходе вынашивания плода вес будет постепенно расти, но на 5 недели изменения пока будут незначительными. В большинстве случаев вы наберете не более 0,5 кг. Основной «набор веса» произойдет во второй и третей стадии беременности.
Явные признаки беременности на 5 неделе:
- отсутствие менструации;
- гормональная перестройка организма;
- эмоциональная возбудимость;
- тошнота по утрам;
- утомляемость и сонливость.
Выделения
Именно по выделениям организма на 5 недели беременности предопределяют дальнейшее ее течение. Вызываются они перестройкой организма для подготовки женщины к будущим родам. Например, светлые, прозрачные или белесые выделения свидетельствуют о нормальном ходе развития зародыша и беременности.
Случаи, когда нужно немедленно обратиться к врачу:
- Выделения имеют коричневый цвет и сопровождаются болью в области низа живота, это свидетельствует о вероятности выкидыша, поэтому следует немедленно вызывать «скорую», поскольку возможно развитие кровотечения.
- Выделения сопровождаются зудом, имеют зеленоватый или желтоватый цвет, неприятный запах и вызывают общий дискомфорт. В большинстве случаев это вызвано инфекцией, и без врачебного вмешательства тут не обойтись.
- Коричневые выделения имели место, но прошли, а потом вновь появились уже после 5 недели беременности. Это также не исключает прерывание, может свидетельствовать о «замерзшей беременности» (смерти плода).
- Светло-коричневые выделения на 5 неделе течения беременности могут быть предвестниками внематочной беременности. Не следует паниковать при всех случаях нетипичных выделений, а просто обратиться за консультацией к специалистам для оценки ситуации и принятия верного решения в конкретном случае.
- После секса могут иметь место незначительные розово-коричневые выделения, которые вызваны изменениями внутренней структуры влагалища, что делает возможным ее легкое повреждение в моменты близости. Консультация гинеколога в таких случаях также не будет лишней мерой предосторожности.
Что делать, когда болит живот
Пятая неделя беременности по времени совпадает со временем начала менструального цикла. По этой причине многие женщины, не подозревая, что беременны, считают такие боли предвестниками критических дней. Имея такие признаки на фоне задержки месячных, женщина должна насторожиться и купить в аптеке тест для определения беременности.
Проведение выше указанных исследований – скорей всего подтвердит беременность. Даже в случае, когда аппарат УЗИ и не распознает эмбрион, что бывает не редко, наличие повышенной концентрации хорионического гонадотропина человека указывает на наличие беременности.
Физиологические изменения, которые происходят в организме будущей мамы, также могут вызывать боли на раннем сроке. Их причиной может быть и усиленное желчеобразование, которое связано с воздействием на этот орган гормонов. В будущем желчный пузырь сместится вправо, что приведет к нарушению оттока желчи.
А что вы знаете о календаре беременности? Что это?Каждая беременная женщина с нетерпением ждёт того момента, когда сможет увидеть своего малыша. Благодаря широкому использованию УЗИ при беременности выполнить такое желание женщинам стало гораздо проще.
Осложнения беременности на раннем сроке
На ранних стадиях беременности многие женщины беспокоятся о выкидыше. Тревоги такого рода являются постоянными, особенно когда беременность является запланированной. Если у женщины не наблюдались выкидыши или другие заболевания, увеличивающие риск, ей не следует сильно волноваться.
Иногда подобные случаи называют «самопроизвольными абортами». Основная их часть в первом триместре вызывается хромосомными проблемами, которые наличествуют в зародыше. Их не следует связывать с генами матери или отца.
К остальным факторам риска, приводящим до «самопроизвольного аборта», относятся:
- зрелый возраст (более 35 лет),
- проблемы с женской шейкой или маткой,
- наличие инфекций и ведение неправильного образа жизни.
Пониженный уровень содержания ХГЧ является поводом для назначения серьезного обследования, и никак не поводом для создания паники. Женщина обязана помнить о том, насколько важны позитивные эмоции матери для будущего ребенка.
Анализы, которые нужно сделать на 5 неделе беременности
К этому сроку сомнения, касающиеся наступления беременности уже рассеялись, и многие из женщин именно на 5 неделе уже посещают ЖК в связи с беременностью.
Столь ранняя постановка на учет является вполне оправданной, поскольку поможет обойти многие риски и предупредить возникновение возможных патологий.
Начиная с первого визита и до родов, будущая мама пребывает под наблюдением специалистов, ей своевременно назначают комплексное обследование, анализы и исследования. Наблюдение за состоянием беременной означает осуществление контроля здоровья будущего ребенка.
Женщинами на 5 неделе (и при следующих плановых посещениях врача, который ведет беременность) сдаются:
- анализ мочи (так контролируется наличие белка и уровень сахара);
- анализ крови из пальца и вены.
Врачом могут быть назначены другие исследования и анализы, показания для проведения которых, являются индивидуальными, они зависят от жалоб и результатов осмотра.
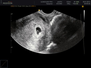
Узи на 5 неделе беременности
УЗИ на пятой неделе беременности покажет: размеры матки, количество плодных яиц и место, где локализуется плод в матке.
Уже на пятой неделе начинает работать сердечно — сосудистая система, поэтому грамотный специалист в ходе ультразвукового исследования, путем сопоставления сердечного ритма и двигательной активности плода, сможет оценить и спрогнозировать его жизнедеятельность.
До 20 недели беременности размер плода измеряют как копчико — теменной размер, а после 20 размер плода измеряют от пяток до темени.
Советы и рекомендации
Рассмотрим подробней, на что нужно обратить внимание в этот период:
- На 5 неделе следует обратиться в женскую консультацию, где врач путем проведения осмотра подтвердит предположения о беременности, назначит необходимые анализы, поставит на учет и пропишет витамины для беременных.
- Не желательно затягивать с походом в женскую консультацию, особенно если женщина работает во вредных условиях. Если женщина беременна, врач обязан выдать справку, по которой будущую маму переводят на другое место работы, где условия труда более комфортны.
- Перед походом к врачу следует собрать информацию о здоровье мужа, его родственников. Гинеколог спрашивает о детских болезнях, которые перенесла женщина (особенно о краснухе) и об актуальном состоянии здоровья отца ребенка.
- Поскольку во время беременности вкусовые пристрастия женщины меняются, ей нужно забыть о всяких диетах и есть, все, что просит организм. Если по утрам тошнит, то специалисты рекомендуют принимать пищу, не поднимаясь с постели. Принимать еду нужно часто и маленькими порциями, чтобы не перегружать желудок и не ощущать тошноты.
- В случае появления раннего токсикоза не занимайтесь самолечением, а лучше проинформируйте врача о своих проблемах.
- В первом триместре беременности наличествует опасность выкидыша. Следует внимательно отнестись к малейшим изменениям в самочувствии, к возникновению тянущих ощущений или болей внизу живота, к появлению мажущих выделений из половых путей.
- Женщина должна строго соблюдать режим дня, больше отдыхать.
- Узнав о беременности желательно сразу отказаться от табака и алкоголя. Вредные привычки пагубно влияют на формирование внутренних органов и нервной системы ребенка, которое происходит в первом триместре. Желательно не посещать помещения, где курят.
Источник: https://kinderok.com/beremennost/po-nedelyam/5-nedelya-beremennosti.html
5 неделя беременности: развитие эмбриона, ощущения женщины ~ Блог о детях

Обновлено Июл 28, 2019 7 071 6
Пятая акушерская неделя беременности равняется третьей недели беременности от зачатия. Именно на этом сроке большинство женщин узнают о своем интересном положении.
И конечно же, им всем хочется узнать, как развивается малыш на данном сроке, какие изменения происходят с ним и на что нужно обратить внимание. Обо всем, что происходит на этой неделе, поговорим в этой статье.
5 недель, сколько это месяцев? 5 неделя — это начало 2 акушерского месяца (5 недель — 1 месяц и 5 дней). Вы на первом триместре.
Какие изменения в организме происходят на 5 неделе?
Женский организм привыкает к тому, что он теперь не не один. Эмбрион проходит этап закрепления в матке с помощью пуповины. Образуется слизистая пробка, закрывающая проход в матку. На этой неделе беременности женщина может заметить небольшое повышение температуры до 37-37.5 градусов.
Это может быть вызвано прикреплением околоплодного яйца к матке, а если температура поднялась выше и сопровождается насморком и кашлем, боль в горле, общим недомоганием и отсутствием аппетита, стоит бить тревогу. Возможно, это признаки ранней простуды или гриппа, что противопоказано на таком сроке беременности.
Ни в коем случае нельзя болеть, особенно на ранних стадиях беременности, это может перерасти в хронические заболевания у ребенка. Необходима срочная консультация лечащего врача-гинеколога, только доктор может назначить соответствующее медикаментозное лечение. Без рекомендаций врача заниматься самолечением в период пяти недель беременности ни в коем случае нельзя.
В связи с увеличившейся выработкой эстрогена начинают расти как на дрожжах груди, набухают соски. Они становятся немного коричневатого оттенка, таким образом уже заранее подготавливая будущую мамочку к кормлению.
Что происходит с эмбрионом?
Размер ребёнка составляет 2-3 мм, а вес меньше половины грамма.
У эмбриона начинают формироваться органы. Изо дня в день развитие усложняется. В начале недели у ребёнка сформируется нервная трубка — основа для процесса развития центральной нервной системы. Она находится по длине всего организма эмбриона и даёт возможность развиться головному и спинному мозгу.
Эмбрион на 5 неделе
Начинает развиваться сердечно-сосудистая система. В передней части эмбриона, в выпуклой стороне, формируется сердце и начинает биться. К концу 5 недели сердце имеет левую и правую камеру, которые сокращаются в два раза сильнее, чем у взрослого человека.
К концу недели устанавливается циркуляция крови, сформируются глазные впадины, пуповина и ушные проходы. Развитие кровеносной системы ведет отсчет с клубка тканей, который в будущем будет сердцем. Далее, с центра эмбриона начнут развиваться дыхательные органы – гортань, трахея.
Пищеварительная система пока слабо выражена.
Появятся зачатки рук и ног. Произойдёт закладка важных органов для ребёнка: печени, почек, органов пищеварения и выделительных органов. Форма эмбриона напоминает грушу и при детальном рассмотрении можно увидеть различные части тела.
Положение плода напоминает букву С, в ней он пробудет ближайшие месяцы. В эту неделю активно расширяется нервная трубка, она будет формировать головной мозг и нервную систему. За 5 недель беременности успевает развиться специальный так называемый желточный мешок с жидкостью внутри.
Его функцией на данном этапе является формирование кровяных клеток.
Первые признаки беременности, ощущения беременной
Наряду с задержкой месячных, большинство женщин отметит у себя целый ряд изменений, вызванных гормональной перестройкой. Чаще всего на 5 неделе появляется токсикоз в начальной стадии, чувствительность к запахам, появляются проблемы с желудочно-кишечным трактом.
Вышеперечисленные недуги связаны с процессами, начавшими происходить в организме женщины после оплодотворения сперматозоидом яйцеклетки. Мышцы матки расслаблены, так как идет усиленное вырабатывание прогестерона.
Для безопасности плодного яйца этот самый прогестерон снижает частоту прохождения пищи по кишечнику, отчего и возникают проблемы с ЖКТ в виде метеоризма, вздутия, запора и т.д. Начинает проявляться сонливость, больше хочется отдыхать, характерна повышенная утомляемость для беременных.
Женщина начинает слишком остро реагировать на запахи, возникает рвотный рефлекс на некоторые запахи и виды продуктов. Может полностью пропасть аппетит.
Боли внизу живота и выделения на 5 неделе
Болезненные ощущения в нижней части живота, которые напоминают предменструальные, могут указывать на повышенный маточный тонус. Это является серьезной угрозой беременности, так как может спровоцировать самопроизвольный выкидыш.
Подобные ощущения встречаются достаточно часто на ранних сроках вынашивания, поэтому будущей маме не следует паниковать, следует обратиться к специалисту, который сможет точно установить причину таких болей.
Если у будущей мамы болевые ощущения дополняются кровотечением, то это явный признак начинающегося выкидыша. Женщине необходимо срочно обратиться в стационар, шанс при этом сохранить беременность — составляет 50%.
Другой причиной кровотечений на ранних сроках являются традиционные месячные, которые могут регулярно проходить первые несколько месяцев вынашивания. С этим могут столкнуться около 5% женщин в положении, при этом они вовсе не вызывают угрозу прерывания.
Более того, женщина может не знать о своем положении, а узнать о нем, лишь на 3-4 месяце беременности, когда наступит задержка.Что касается нормальных выделений, то на ранних сроках они должны быть полупрозрачного цвета, умеренной консистенции, без запаха и примеси крови. Очень часто, в виду ослабленной иммунной системы у женщин начинает обостряться молочница.
При этом выделения приобретают белый цвет, а их консистенция становится более вязкой хлопьеобразной. Наружные половые органы будут заметно отечны и раздражены, будет присутствовать зуд и жжение.
Заболевание требует своевременного и квалифицированного лечения.
Питание на 5 неделе беременности
Питание на 5 неделе беременности чаще всего осложняется ранним токсикозом. В таком случае следует попробовать заменить белковые продукты животного происхождения (яйца, мясо и др.) растительными белками – соевыми, бобовыми или орехами.
Рекомендуется увеличить потребление моркови, абрикосов, манго, а при неприятии молока следует заменить его сыром или йогуртом.
Если еда не приносит удовольствия, не стоит мучить себя и есть насильно, ‒ продукты, вызывающие отвращение, необходимо полностью исключить из рациона.
Если токсикоз и прочие неприятные симптомы изнуряют беременную женщину, вызывая отторжение пищи, рекомендуется начать дополнительный прием пиридоксина (витамина В6), который положительно воздействует на усвоение белков, а, следовательно, облегчает проявления токсикоза.
Кроме того, на ранних сроках беременности помогает дробное питание: принимать пищу следует часто и понемногу, ‒ это поможет избежать неприятных приступов тошноты. Если никакие рекомендации не помогают, и организм отторгает все съеденное, будущей маме следует лечь в стационар.
В такой сложный период ей будут необходимы инъекции витаминных препаратов, а также внутривенное введение глюкозы.
(20 4,50 из 5)
Загрузка…
Предыдущая запись
4 неделя беременности: что происходит на этой неделе
Следующая запись
6 неделя беременности: что происходит на этой неделе?
Источник: https://child-blog.ru/beremennost/kalendar-beremennosti/5-nedelya-beremennosti-razvitie-embriona-oshhushheniya-zhenshhiny.html
5 неделя беременности | Мой Гинеколог

| > |
Началась 5 акушерская неделя беременности: это означает, что ваши последние месячные были пять недель назад, а зачатие ребенка произошло примерно 3 недели назад.
Что происходит на 5 акушерской неделе? В это сложно поверить, но крохотное сердце эмбриона начнет биться в ближайшие дни. Ваш будущий ребенок сейчас состоит из миллионов клеток, которые усердно делятся, превращаясь в отдельные ткани и органы.
Активное развитие претерпевает нервная система эмбриона: продолжают формироваться будущие головной и спинной мозг, а также нервные окончания. На его головке появляются зачатки будущих глазок и ушек.
Человеческий эмбрион на ранней стадии развития внешне очень похож на эмбрион рыб. Так, например, на 5-6 неделе у эмбриона можно разглядеть образования, похожие на жабры. Это жаберные дуги, из которых в течение ближайших недель будут развиваться челюсти и другие компоненты будущего личика.
Размеры плода на 5 неделе беременности еще очень малы: всего около 2 мм. Если бы вы сейчас могли увидеть своего будущего ребенка, то вряд ли бы узнали в нем человеческое существо. Эмбрион на 5 неделе беременности скорее напоминает головастика, чем пухленького карапуза, которым он станет через 9 месяцев.
Базальная температура на 5 неделе беременности
Если беременность протекает нормально и уровень прогестерона поддерживается на должном уровне, то базальная температура на сроке беременности 5 недель сохраняется повышенной: обычно, 37,7С и выше. Не волнуйтесь, если ваши измерения показывают более низкие показатели: организм каждой женщины уникален и небольшие отклонения от нормы обычно не говорят об угрозе.
Тест на беременность на 5 неделе
Если на прошлой неделе тест еще мог быть отрицательным, то сейчас он точно должен показать 2 полоски. Сохраните свой первый положительный тест на память.
Анализ крови на ХГЧ на 5 неделе беременности
ХГЧ (хорионический гонадотропин) продолжает расти. На 5 неделе беременности его уровень может варьировать от 25 до 7,340 мЕД/мл. Если беременность протекает нормально, то уровень ХГЧ должен увеличиваться вдвое каждые 3-3,5 дня.
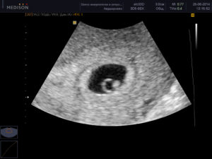
УЗИ на 5 неделе беременности
Врачи не рекомендуют делать УЗИ на 5 неделе беременности, так как срок еще слишком мал, чтобы исследование было достаточно информативным. Если же вы одна из тех нетерпеливых будущих мам, которые уже записались на УЗИ на 5 неделе, то вы можете узнать следующие новости:
- Где расположено плодное яйцо. В норме плодное яйцо на 5 неделе беременности расположено в полости матки. Если врач обнаруживает плодное яйцо вне матки (в маточной трубе или в другом месте), то говорят о внематочной беременности.
- Если у вас двойня, то уже на 5 неделе беременности УЗИ скорее всего сможет это показать.
- Размеры плодного яйца: по этому показателю врач уточняет срок беременности. Размеры плодного яйца на 5 неделе могут варьировать от 6 мм до 18 мм.
- Есть ли сердцебиение. В норме сердце эмбриона начинает биться на 5 неделе беременности, однако не все аппараты УЗИ способны зарегистрировать сердечную активность на этом сроке. Вагинальное УЗИ в этом случае более чувствительно и чаще выявляет сердцебиение на 5 неделе. Не расстраивайтесь, если УЗИ на 5 неделе не показало сердцебиения – это еще не говорит о замершей беременности. Вам необходимо пройти УЗИ повторно через 1-2 недели.
Ваши ощущения на 5 неделе беременности
На этом сроке могут появиться первые симптомы беременности: недомогание, сонливость, повышенная утомляемость. У некоторых беременных температура тела может подняться до 37С. Это нормально, и температуру не нужно сбивать.
Признаки беременности на 5 неделе все еще не очень заметны, и главным симптомом пока остается задержка менструации.
Несмотря на то, что у большинства женщин симптомы токсикоза появляются не ранее 6-7 недели беременности, вы уже можете почувствовать некоторые изменения: легкую тошноту по утрам, тошноту от запаха или вида какой-то определенной пищи. Это еще более вероятно, если вы ожидаете двойню.
Матка уже начала расти. Она еще не достигла настолько крупных размеров, чтобы это стало заметно окружающим, поэтому живот на 5 неделе беременности все еще остается плоским или слегка округленным из-за вздутия живота.
Увеличенная матка начинает давить на мочевой пузырь – поэтому уже сейчас вы можете заметить более частые позывы к мочеиспусканию.
Беременная на сроке 5 недель может заметить следующие симптомы: боли в животе и в пояснице, мажущие выделения, боли в груди. Как правило, эти симптомы не опасны и не предвещают никаких осложнений.
Тянет живот или поясницу в 5 недель беременности? Это совершенно нормально: ваша матка начала расти, связки, поддерживающие матку растягиваются.
Тем не менее, вам необходимо посетить врача, если:
- У вас сильно болит живот (посередине или сбоку). Растущая матка и желтое тело в яичнике могут создавать дискомфорт и даже болезненные ощущения, поэтому тянущие боли в животе в 5 недель беременности это очень распространенная жалоба. Обычно, эти боли не говорят ни о каких осложнениях, однако если живот болит сильно, то обратиться к врачу нужно незамедлительно.
- У вас появились обильные кровянистые выделения. Мажущие выделения в 5 недель беременности наблюдаются достаточно часто. Выделения могут иметь коричневый или розовый цвет. Как правило, такая мазня не опасна ни для будущей мамы, ни для ее будущего ребенка. Однако, если кровянистые выделения в 5 недель обильны и больше напоминают месячные, то обратиться к врачу следует незамедлительно. На нашем сайте есть отдельная статья, посвященная этой теме: Месячные на раннем сроке беременности.
Советы для будущей мамы
На этом сроке беременная начинает задумываться: что можно во время беременности, а что нельзя. Список ограничений в 5 недель беременности невелик: вам следует отказаться от курения (в том числе, избегать пассивного курения), от алкоголя и от избытка кофе. На этом сроке также не рекомендуется принимать горячие ванны, посещать баню или сауну.
Секс на 5 неделе беременности не запрещен, если у вас нет никаких выделений и болей в животе.
Если у вас появились первые симптомы токсикоза, постарайтесь меньше времени проводить на кухне. Различные запахи могут усиливать тошноту или даже провоцировать рвоту.
Советы для будущего папы
Поведение вашей спутницы может заметно измениться, будьте к этому готовы. Не стоит показывать свое раздражение, если будущая мама отказывается ужинать или требует деликатес, который сложно отыскать в вашем городе.
Будьте терпеливы и рассудительны: если вы не в силах достать тот или иной продукт, предложите свой любимой альтернативу. Часто беременной движут не изысканные гастрономические причуды, а желание получить как можно больше внимания.
Не отказывайте ей в этом: чем внимательнее вы станете, тем менее требовательной будет ваша спутница.
| > |
Источник: https://www.mygynecologist.ru/content/5-%D0%BD%D0%B5%D0%B4%D0%B5%D0%BB%D1%8F-%D0%B1%D0%B5%D1%80%D0%B5%D0%BC%D0%B5%D0%BD%D0%BD%D0%BE%D1%81%D1%82%D0%B8
Что происходит с мамой и ребенком на 5 неделе беременности?

Как правило, наступившая 5 неделя беременности является периодом, когда будущая мать получает окончательные подтверждения подозрений о своем положении. Это срок, когда должна была бы наступить менструация, если бы не произошло зачатья. Поэтому задержка развеивает последние сомнения. Разберемся, как к этому времени выглядит эмбрион и какие ощущения испытывает беременная.
Прежде всего, стоит напомнить, что пять акушерских недель – это срок, соответствующий третьей неделе развития эмбриона. То есть, к этому времени прошли двадцать одни сутки после зачатия.
За это время произошло закрепление плодного яйца в матке и плод уже успел заметно подрасти. Теперь его размер сравним с размерами рисового зернышка.
Однако 5 недель беременности – это не тот срок, когда положение женщины становится очевидным, со стороны явные признаки беременности незаметны.
Как проходит развитие будущего ребенка?
В начале беременности плод растет буквально «не по дням, а по часам». На пятой неделе, он уже успел превратиться из шарообразного плодного яйца в эмбрион, напоминающий своим внешним видом головастика.
На третьей неделе после зачатия активно продолжается развитие внезародышевых органов, необходимых для жизнеобеспечения эмбриона. Если на прошлой неделе ворсинки хориона представляли обычные выступы, то теперь в каждой из них располагается капилляр, то есть начинается развитие кровеносной системы плода, которая будет объединена с кровеносной системой матери.
То есть, если раньше эмбрион получал питание за счет оболочек плодного яйца, то теперь его будет обеспечивать материнский организм. До момента рождения плод будет получать питательные вещества из крови матери.
Таким образом, 5 неделя беременности – это срок, когда начинает развиваться маточно-плацентарное кровообращение. Из хориона, образованного из плодного яйца, формируется первичная плацента. Однако пока плацента не может обеспечить полноценную защиту эмбриона, поэтому плод очень уязвим.Совет! С момента закрепления плодного яйца в матке и до окончательного формирования плаценты плод ничем не защищен от воздействий токсических веществ, которые могут появиться в крови матери. Поэтому беременным категорически нельзя употреблять алкоголь, курить или находиться в прокуренных помещениях.
Размеры
Если срок беременности пять недель, то размер плода сравним с зернышком риса. Его вес немногим более одного грамма, а размер – около трех миллиметров.
Оболочки плодного яйца к этому времени уже успели сформировать пузырек, который наполнен амниотической жидкостью.
Эта жидкость станет местом обитания будущего ребенка, она будет защищать плод от возможных механических повреждений и обеспечит ему комфортное развитие.
Совет! При проведении УЗИ на ранних сроках измеряется копчиково-теменной размер, то есть, размер от темени до копчика, длина ног при этом не учитывается.
Поэтому определять размер плода имеет смысл только, пока срок беременности не перевалил за 12-13 неделю.
В дальнейшем провести измерения технически сложно, так как плод находится в полусогнутом положении, кроме того, измерение роста не имеет большого клинического значения.
Внешний вид
Если срок беременности уже пять недель, то на месте шарообразного плодного яйца уже успел сформироваться эмбрион. Внешне он похож на диск, разделенный полоской пополам. Эта полоска – ось симметрии тела будущего человечка, то есть, будущий позвоночник. На этом сроке плод уже имеет зачатки некоторых внутренних органов. У него начинают формироваться системы дыхания и пищеварения.
Если контур плодного яйца напоминал шарик, то плод на пятой неделе можно сравнить с полумесяцем или буквой С. У него уже можно различить место, где будет формироваться голова.
Но самым значительным событием, которым знаменательна пятая неделя, является формирование будущего сердечка.
К концу этой или к началу следующей недели при проведении УЗИ уже можно будет заметить, что сердце плода начало биться, теперь оно будет сокращаться до конца жизни человека.Кроме того, пятая неделя – это срок, на котором происходит активное развитие нервной системы. В это время происходит смыкание нервной трубки, образованной из внешней оболочки плодного яйца. Этой трубке со временем предстоит стать спинным мозгом. На ней появляются три явно выраженных утолщения, которые носят название мозговых пузырей.
На этом сроке желточный мешок плодного яйца начинает вырабатывать первичные половые клетки.
Эти клетки называют гонобластами, через некоторое время они станут зачатками яйцеклеток, если плод женского пола, или сперматозоидов, если зачат мальчик.
На пятой неделе у эмбриона мужского пола начинают образовываться половые железы. Чуть позже они начнут синтез тестостерона, что и обеспечит дальнейшее развитие по мужскому типу.
Что ощущает будущая мать?
На пятой акушерской или на третьей неделе после зачатия у женщин, как правило, уже нет сомнений в том, что наступила беременность. Конечно, размер живота пока не увеличился, да и другие внешние признаки отсутствуют.
Однако беременная женщина уже может заметить характерные симптомы, самым значимым из которых является физиологическая аменорея (отсутствие менструации). Остальные же признаки весьма субъективны. Некоторые женщины ничего особенного не чувствуют, но большинство отмечают следующие симптомы:
- нервозность, плаксивость, эмоциональную неуравновешенность;
- сонливость, частые позывы к мочеиспусканию;
- признаки токсикоза – тошнота по утрам, изменение вкусовых предпочтений, резкая реакция на запахи и пр.;
- нагрубание молочных желез, размер груди может несколько увеличиться.
Иногда женщины отмечают, что у них болит низ живота. Если боль неинтенсивная и имеет тянущий характер, то это, скорее всего, норма, не требующая лечения. Однако если низ живота болит сильно, да к тому же появились коричневые, розовые или кровянистые выделения, то нужно обращаться к врачу.
УЗИ
Если будет назначено УЗИ на 5 неделе беременности, то исследование позволит определить место прикрепления эмбриона в матке, а к концу недели можно будет разглядеть и сердцебиение.
Совет! Если срок беременности перевалил за 5 недель и при проведении УЗИ сердцебиение не было выявлено, то это не означает, что развитие малыша идет неправильно. Скорее проблема в возможностях оборудования для проведения исследования.
Изменения гормонального статуса
С момента зачатия в организме женщины начинается серьезная гормональная перестройка. При диагностике и контроле протекания беременности наибольшее клиническое значение имеет уровень таких гормонов, как прогестерон и ХГЧ. Разберемся, какова норма содержания этих гормонов и чем грозит, если норма будет снижена.
Гормон прогестерон начинает вырабатываться с самого начала беременности. Сначала прогестерон продуцирует желтое тело, а начиная со второго триместра эту функцию берет на себя плацента. На протяжении всей беременности уровень гомона постоянно растет. Какие функции выполняет прогестерон и чем грозит, если уровень содержания гормона низкий?
- Способствует сохранению беременности. Гормон прогестерон снимает тонус матки, готовит организм к тому, что размер матки будет существенно увеличен.
- Подготавливает грудь к лактации. Гормон прогестерон способствует росту груди, расширению молочных протоков, выработке молозива.
- Оказывает общее воздействие на организм матери. Улучшает сон и аппетит, регулирует обменные процессы, воздействует на эндокринную систему.
Важное влияние прогестерон оказывает и на плод. Если уровень гормона низкий, то женский организм может воспринять эмбрион, как инородное тело и отторгнуть его. Если срок беременности пять недель, то норма содержания гормона составляет от 12 до 18,2 нг/мл.
Совет! Обратите внимание, что при проведении анализа на прогестерон в разных лабораториях могут быть использованы разные методики. Поэтому норма может отличаться от приведенных выше значений. Обязательно обращайте внимания на значения, указанные в бланке лаборатории в графе «норма».
Если уровень гормона низкий, то врач может назначить искусственный прогестерон. Однако принимать прогестерон, как впрочем и любые другие лекарства, без назначения нельзя. Высокий уровень гормонов не менее опасен, чем низкий.
Еще один гормон, уровень которого необходимо контролировать в начале беременности – это ХГЧ. Измеряя уровень ХГЧ в крови, можно определить наступление беременности еще до задержки.В моче уровень ХГЧ растет не так быстро, поэтому тесты на беременность на сроке до 5 недель часто показывают недостоверные результаты. Однако на пятой неделе уровень ХГЧ уже настолько высок, что можно смело использовать тест.
В самом начале беременности уровень ХГЧ удваивается каждые два дня, и это норма для этого срока. Начиная с 5 или 6 недели, содержание ХГЧ растет уже не так стремительно, его концентрация удваивается каждые три дня.
Совет! Пиковых значений концентрация ХГЧ достигает к 8-10 неделе, затем норма содержания ХГЧ начинает снижаться.
Для 5-6 недели беременности норма содержания ХГЧ составляет 1110-31500 мМЕ/мл
Выделения и боли
Какие выделения на 5 неделе беременности норма, а какие должны заставить насторожиться? Не стоит беспокоиться, если выделения не вызывают дискомфортные ощущения и имеют вид прозрачной или беловатой слизи. Появление выделений, напоминающих творог на фоне ощущения зуда или жжения, может быть признаком молочницы.
А вот мажущие розовые или темные коричневые выделения могут быть признаком начавшегося выкидыша. Особенно опасно, если при этом болит низ живота или появилась боль, отдающая в поясницу.
У некоторых женщин на фоне наступившей беременности отмечается кровотечение, подобное менструации. Это кровотечение в акушерской практике называется «омывание плода» и является вариантом нормы. Однако самостоятельно сказать, почему появилась кровь или скудные розовые либо коричневые выделения невозможно. Поэтому нужно обязательно обратиться к врачу.
Многие беременные на ранних сроках жалуются, что у них тянет или болит низ живота. Нужно сказать, что болезненные ощущения, появившиеся в животе, могут быть обусловлены разными причинами, в том числе и не связанными с беременностью (например, расстройством кишечника).
Но нередко причиной того, что болит или тянет низ живота, является гипертонус матки. Это состояние является опасным, так как при гипертонусе нередко происходит выкидыш. Поэтому, если у беременной не только тянет низ живота, но и появились кровянистые, розовые или коричневые выделения, не нужно размышлять над тем, что происходит, следует немедленно звонить в «Скорую помощь».
Если низ живота просто слегка тянет или несильно болит, но розовые, коричневые и другие непривычные выделения отсутствуют, нужно просто спокойно полежать и расслабиться.
И обязательно записаться на ближайший прием к гинекологу. Врач определи, что происходит в организме беременной женщины.
Если причиной того, что низ живота напряжен и побаливает, является гипертонус, специалист назначит соответствующее лечение или предложит лечь в стационар.Итак, 5 неделя беременности – это время, когда большинство женщин узнает о своем положении. Несмотря на то, что размер живота пока не изменился, в организме будущей матери происходит серьезная перестройка, а плод активно развивается. Начало беременности – опасный период, так как эмбрион пока еще не достаточно надежно закрепился в матке и не имеет надежной защиты в виде плаценты.
Поэтому не стоит тянуть с визитом к врачу. Лучше посетить доктора при первых подозрениях о наступлении беременности, пройти все необходимые обследования и убедиться, что беременность развивается нормально. Беременной нужно внимательно следить за своим самочувствием, при появлении недомоганий сразу же обращаться за медицинской помощью.
Источник: https://ponedelyam.ru/kalendar/5-nedelya-beremennosti.html


