Неделя после зачатия узи
1 неделя после зачатия: признаки беременности

Неразбериха в неделях беременности появляется из-за того, что доктора считают так называемый акушерский период с первого дня месячного цикла, когда еще и зарождение не случилось. А девушки, в особенности беременные в первый раз, не опытные, считают время и недели с этапа «успешного» сексуального акта, то есть примерно с половины месячного цикла.
Таким образом, в период приостановки менструации, по вычислениям будущей мамы, гестационный период беременности длится уже 2 недели либо приблизительно столько. А доктор сообщает, что уже 4 недели. И от объемов плодного яичка, эмбриона тут ничего не зависит. Пока они абсолютно у всех похожи.
С признаками беременности 1 недели после зачатия можно ознакомиться ниже.
Что происходит внутри женщины на первой неделе беременности после зачатия?
Слияние сперматозоида и яйцеклетки происходит в маточной трубе, после чего образовывается одноклеточный организм в яйцеклетке и начинает развиваться новая жизнедеятельность. Это происходит приблизительно спустя 12-24 часа после овуляции, в начале третьей недели цикла (акушерской). Для девушек же это 1 неделя после зачатия, когда все лишь начинается.
Ядра сперматозоида и яйцеклетки соединяются, и у плода образовывается стандартный комплект хромосом — 46, 50 % от мамы, а 50 % от папы. Формируется пол детей, непосредственно на этом периоде порой возникают патологии. В большинстве ситуаций природа принимает решение освободиться от «бракованного» эмбриона, у девушки начинаются месячные. Это расценивается как аборт на раннем сроке.
Если с плодом все в порядке, то зигота начинает разделяться и в то же время двигаться по маточной трубе в матку. Вследствие разделения части клеток формируется дальнейший хорион (плацента), а оставшаяся доля превращается в плод.
На 6-й либо 7-й день будущий ребенок попадает в матку, совершается вживление эмбриона. Процесс занимает еще порядка двух дней. Поверхностные клеточки эмбриона попадают в эндометрий и соединяются с исходными кровеносными сосудами.Образовывается оболочка, что станет насыщать зародыш всеми необходимыми веществами на протяжении всей его внутриутробной жизни. Разумеется, спустя пару недель он видоизменяется в новый орган — плаценту, или младенческое место.
Признаки беременности
Итак, в случае если планируется беременность, нужно уделить большое количество внимания собственному организму и отслеживаются все, даже самые незначительные изменения. Стоит непременно ознакомиться с представленным перечнем первых показателей беременности. Это могут быть такие признаки первой недели после зачатия:
- Небольшие кровотечения.
- Частые недомогания.
- Повышение базисной температуры.
- Припухлые женские молочные железы, увеличение их восприимчивости.
- Сонливость, мгновенная астеничность и несобранность также могут сигнализировать о возникновении новой жизни.
- Ощущения покалывания изнутри матки.
- Изменение пищевкусовых предпочтений, неприязнь к конкретным ароматам, рвота, тошнота.
- Головные боли.
- Повышение слюноотделения.
- Боли в пояснице.
- Выделения с влагалища.
- Частые мочеиспускания.
- И, в конечном итоге, наиболее известный и прогнозируемый критерий беременности – задержка месячного цикла.
Совсем не обязательно, что при наступлении беременности на женщину мгновенно же свалятся все эти признаки зачатия. После недели вынашивания плода ни одного из вышеперечисленных симптомов может не возникнуть, все происходит в индивидуальном порядке. Есть ряд признаков, при наличии которых стоит тут же отправиться либо в аптеку за тестом на определение беременности либо на прием к гинекологу.
Выделения
Начнем с того, что еще до прекращения месячных может возникнуть такой симптом после недели зачатия, как незначительные кровянистые выделения, которые способны поставить женщину в тупик, ведь она воспринимает их как месячные, которые не похожи на обычные и начались несвоевременно. Выделения будут иметь желтовато-коричневый цвет и маленький объем. Подобные выделения в медицине называют «имплантационные», означающие самые ранние, начальные симптомы беременности.
Они появляются приблизительно с 6-го по 12-й день уже после зачатия и сообщают о прикреплении эмбриона на стенах матки. Отделения подобного вида — это не только лишь природный процесс при беременности, но и причина обратиться к гинекологу, так как не исключена вероятность выкидыша. Главное не впадать в панику и посоветоваться с доктором.
Повышение температуры
Повышение базисной температуры также считается стандартным показателем беременности. Однако для того чтобы разумно оценить этот показатель, необходимо осуществлять операцию замера температуры в прямой кишке за несколько суток до зачатия. Акушеры-гинекологи полагают, что увеличение температуры больше 37 градусов — это очевидный критерий того, что девушка в интересном положении.
Повышение базисной температуры при беременности обуславливается переменой уровня прогестерона в крови, разумеется, совершается только лишь в первые 2-3 недели, а уже после тело адаптируется к новому уровню гормона, и температура вернется в норму.
Слабость
Боль в голове и слабость весьма похожи на первоначальные признаки простудного заболевания. Но на самом деле это происходит из-за увеличения температуры, инициированного переменой уровня прогестерона. В некоторых случаях у некоторых девушек в начале беременности ослабляется иммунитет, из-за чего способен возникнуть ринит либо боли в горле.
Болит грудь
К характерным показателям беременности на 1 неделе относится незначительная припухлость груди.
К тому же многие отмечают, что грудь становится чрезвычайно восприимчивой, ноет при нажатии, а в некоторых случаях к ней просто нереально дотронуться.
Есть вероятность того, что из сосков начнут выделяться бесцветные выделения. Это очевидный показатель того, что грудь подготавливается к кормлению будущего ребенка.
Токсикоз
В случае если некоторые блюда либо интенсивные запахи стимулируют тошноту, это черты преждевременного токсикоза при беременности. Он способен появиться уже на 2 неделе беременности и длиться до самых родов.
Интоксикация проявление не систематическое, оно способно длиться всего неделю, а после прекратиться на некоторое время и, безусловно, тут все индивидуально: кто-то по-настоящему страдает, а некоторые счастливицы даже не понимают, что это такое.
Кроме этого, не удивляйтесь и тому, что пристрастия в пище существенно изменятся.
Учащенное мочеиспускание
Отличительным показателем беременности считаются еще достаточно учащенные мочеиспускания. Они возникают из-за увеличения количества половых женских гормонов и притока крови к органам малого таза, к тому же при гормональной перестройке организма работа почек также меняется. На наиболее поздних сроках частые мочеиспускания считаются результатом давления плода на мочевой пузырь.
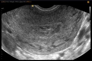
Ультразвуковое исследование и желтое тело
Можно ли заметить плодное яйцо на УЗИ на данном сроке? К сожалению, сейчас еще нет. Даже если проходить обследование влагалищным датчиком, так как оно еще очень маленького размера.
Доктор способен заметить только лишь хороший, пышный эндометрий, типичный для этой фазы месячного цикла, и желтоватое тело в яичнике.
А в некоторых случаях и 2 желтоватых тела, то есть в каждом яичнике по одному.
Желтое тело — это кратковременная железа, что формирует гормон, основной тестостерон 2-й фазы месячного цикла. Образовывается только лишь, в случае если была овуляция, уже после ее. Затем, в случае если оплодотворения не случилось, желтое тело гибнет, степень прогестерона стремительными темпами уменьшается, эндометрий начинает отслаиваться, возникает новая менструация.
Если же зарождение случилось, желтое тело еще пару недель будет существовать. В случае если доктор наблюдает 2 полных желтых тела, то данное явление означает, что у девушки случилось сразу две овуляции. Одновременно две яйцеклетки отправились на встречу сперматозоидам. И в случае если посчастливилось, и они обе оплодотворились, девушку ожидает многоплодная беременность.
Многие девушки, основательно наблюдающие за собственным здоровьем, говорят, что не только могут по собственным чувствам устанавливать овуляцию, однако и ощущают наличие желтого тела.
В зоне яичника, где случилась овуляция, появляется колющая боль, тянет низ живота. Связаны данные чувства с беременностью либо нет — вопрос, на который нельзя ответить с уверенностью.
Вероятно, тут больше играет роль самовнушение и желание отыскать в настолько преждевременном сроке хотя бы какие-то признаки недели после зачатия.
В конечном итоге, если не увидели перечисленных выше симптомов, то наступило время посмотреть на месячный календарь.Вероятно, пока прислушивались к себе и ожидали хоть каких-то перемен, пришло время для «красных дней» в календаре.
В случае если это так, а месячных все нет и нет, то, следовательно, у вас задержка, а это наиболее четкий критерий беременности, при котором 70 % девушек решают покупать тест, для того чтобы удостовериться.
Итак, в случае если вы и правда беременны, необходимо пойти к гинекологу и подготовиться к позитивному восприятию окружающего мира, ведь теперь вам нельзя нервничать.
Будете готовы быть матерью и непременно следите за собственным самочувствием, постоянно делитесь с доктором своими страхами и проблемами. Не забывайте, что от этого зависит состояние здоровья вашего будущего малыша.
Старайтесь получить удовольствие от любого мгновения беременности, и тогда спустя 9 месяцев вы будете вознаграждены маленьким чудом — желанным малышом.
Советы врачей
Как уже отмечалось выше, не стоит при первых признаках беременности себя обнадеживать. Необходимо, как минимум, дождаться начала задержки менструации. Но это не означает, что необходимо сидеть, сложа руки либо вести неправильный образ жизни. Будущая мать должна придерживаться следующих советов.
- Начать принимать фолиевую кислоту и калия йодид. Фолиевая кислота нужна для нормального формирования нервной системы детей. Этот элемент считается недостаточным. Его почти нет в наших продуктах питания. А его недостаток — главный фактор серьезных пороков формирования у плода и прерывания беременности на ранних сроках. По этой причине необходимо как можно раньше, правильнее даже до зачатия, приступить к приему микроэлемента в размере 0,4-1 г в день. И употреблять его как минимум до самих родов. В первые недели беременности у эмбриона развиваются все органы и системы организма. Данный процесс способен быть нарушен недостатком фолиевой кислоты.
- Калия йодид, более знаменитый в Российской Федерации под торговым наименованием «Йодомарин», нужен для нормальной деятельности щитовидной железы. Принимать по 200 мг в сутки на протяжении всего срока беременности и периода грудного вскармливания.
- Забыть про вредные привычки — употребления спиртного и табакокурение. Тут и так все очевидно. Все вредные вещества отрицательно влияют на зародившуюся жизнь.
- Не принимать фармацевтические и общенародные средства (в том числе разнообразные травы, они могут быть ядовитыми), не проходить рентген и прочие операции, потенциально небезопасные для будущих матерей.
- Попытаться не бывать в общественных местах и в детских коллективах, для того чтобы не «подцепить» острое респираторно-вирусное и иное заразное заболевание. В особенности важно для прохладного периода года и в целом первого триместра беременности. Весьма рискованно для будущего малыша инфицирование мамы герпесом (в особенности 2-го вида, генитальным), краснухой, ветрянкой.
- Убирать туалет за домашними животными только лишь в перчатках и основательно мыть руки после этого.
- Длительное время проваривать мясо, тщательно чистить овощи и плоды перед потреблением. Все эти ограничения на 1 неделе беременности считаются профилактикой небезопасной для будущих матерей инфекции — токсоплазмоза.
- Смотреть милые кинофильмы, встречаться с друзьями, подругами и заниматься прочими делами, приносящими наслаждение и удовольствие.
- Избегать стрессов.
- Секс не запрещен, однако только лишь в случае если нет риска подцепить какую-нибудь половую инфекцию. Вопрос, можно ли заниматься сексом, встает наиболее критически уже после прекращения менструации, в случае если имеются определенные признаки опасности прерывания беременности.
- Прием теплой ванны, парилки, сауны необходимо исключить. Они приведут к увеличению температуры, в том числе и в зоне матки, что не считается подходящим для детей. Есть все шансы вызвать аборт на начальном сроке.
Многих девушек интересует, когда лучше проинформировать членов семьи и друзей о собственной беременности. Безусловно, каждая решает самостоятельно. Однако вряд ли нужно это делать уже спустя неделю после возможного зачатия, поскольку сорваться беременность способна даже у весьма юной и здоровой девушки.
Посещать гинеколога либо идти на УЗИ на начальных неделях не имеет смысла. Точно определить беременность через неделю после зачатия не сумеет ни доктор, ни УЗИ.
Источник: https://FB.ru/article/403352/nedelya-posle-zachatiya-priznaki-beremennosti
Можно ли узнать о беременности на сроке 1,2 недели?

Первая неделя беременности – это неделя, следующая за последней менструацией. На сроке в 1-2 (3-4 акушерской) недели бесполезно обращаться к гинекологу или использовать аптечные тесты.
Гинеколог установит беременность только в 4 или 5 недель, а максимум, что может показать качественный тест – это еле видная вторая полоска.
Поэтому чаще всего наступление беременности устанавливают при помощи УЗИ.
Зачем делают и кому рекомендуют исследование?
Если женщина находится в состоянии трепетного ожидания беременности и внимательно прислушивается к себе в поисках ее признаков, то процедура УЗИ при первых подозрениях на беременность сбережет ей немало нервных клеток.
Женщины, (особенно пережившие несколько неудачных беременностей или испытывающие трудности с зачатием), очень остро реагируют на изменения в собственном теле и с нетерпением ожидают счастливой беременности. В этом случае врачи рекомендуют пройти ультразвуковое обследование на 1-2 неделе, чтобы развеять сомнения и попусту не волноваться.
Если беременность наступила, 2 неделя знаменуется прикреплением яйцеклетки к маточной стенке, что меняет гормональный фон.
Справка! На этом сроке уже возможно установление «интересного положения» при помощи ХГЧ.
В анализе крови или мочи будущей матери лаборант может обнаружить ХГЧ – гормон, отвечающий за «настройку» организма на беременность. Определение этого компонента лежит и в основе аптечных тестов на беременность. В редких случаях уже со 2 недели у женщины может начаться ранний токсикоз, который характеризует тошнота и неприятие некоторых запахов.В начале беременности у большинства женщин выражено:
- состояние сонливости и усталости;
- понижение или повышение аппетита;
- изменение пищевых пристрастий (неприятие одного продукта и тяга к другому);
- увеличение груди и некоторая ее болезненность;
- незначительное повышение температуры тела.
Основным и самым серьезным признаком наступления беременности остается задержка менструации.
Состояние мамы и как развивается беременность?
Что же происходит на данном этапе беременности? Группа клеток, которые вскоре станут эмбрионом, начинает усиленный рост. Плодное яйцо уже имеет полный набор хромосом: по 23 от каждого родителя.
Пол будущего малыша уже сформирован, хотя будущая мама с помощью УЗИ еще нескоро сможет его узнать. Пол ребенка определяется при зачатии, отвечает за него хромосома отцовского сперматозоида (Х – будет девочка, Y-хромосома – мальчик).
Признаки беременности могут и не проявиться у женщины на сроке в 1-2 недели.
Важно! Если беременность долгожданная, то стоит подготовиться к ней заранее – например, начать прием специальных поливитаминных препаратов или просто фолиевой кислоты. Это вещество защитит будущего малыша от широкого спектра врожденных дефектов.
В рационе, насыщенном фолиевой кислотой присутствуют абрикосы, морковь, спаржа, тыква, яичные желтки и шпинат.
Что показывает обследование?
Многие женщины на 10-й день задержки хотят узнать, покажет ли УЗИ беременность? Срок является слишком маленьким, поэтому вряд ли врач назначит исследование на данных неделях именно по поводу ее наступления.
Скорее всего, процедура будет назначена для:
- Подготовки к стимулирующим беременность мероприятиям.
- Проверки результатов уже проведенной стимуляции.
- Изучения эндометрия.
- Осмотра полости матки на наличие миом, кист и кровяных сгустков.
Прикрепление плода к стенке матки происходит на 3-4 неделе, собственно это время и считается наступлением беременности.
На 1-2 неделе врачи еще не говорят об ожидании ребенка, речь идет только о 2 неделе менструального цикла. Организм еще готовится к возможным переменам, а произошли они или нет женщина пока не сможет точно узнать.
Вторая неделя несет женскому организму множество изменений. Основное из них – это готовность яйцеклетки передать ребенку генетическую информацию матери (цвет ее глаз и волос, рост и черты характера), то есть созревание.
Яйцеклетка еще расположена в фолликуле (так называют образование с мутной жидкостью). Но после сильного растяжения его стенки лопаются, «выпуская» созревшую яйцеклетку в брюшную полость. Отсюда ей необходимо попасть к матке, и первым шагом на этом этапе пути становится перемещение в маточную трубу. Здесь и происходит оплодотворение женской клетки, что становится началом беременности.
После этого плодное яйцо оказывается в матке. Там, где находился лопнувший фолликул, формируется желтое тело яичника. Оно является временной железой внутренней секреции, необходимой для выработки прогестерона.
На второй неделе ожидания малыша происходит следующее:
- для полноценного развития эмбриона начинается формирование внезародышевых органов, они обеспечат его питание и защиту;
- начинает развиваться амниотический пузырь, который впоследствии будет выполнять защитную и выделительную функции;
- у эмбриона образуется сердечная трубка;
- на спинке будущего малыша образуются две складки, на краях которых начинается формирование спинного и головного мозга.
Как делают?
В самом начале ожидания ребенка, УЗИ проводится при помощи трансвагинального датчика. Однако врач-диагност пока сможет лишь предположить, наступила беременность или нет, потому что срок слишком мал для точных формулировок.
На 1-2 неделе обычно применяют один из двух видов исследований:
- Посредством трансвагинального датчика, который вводится во влагалище.
- Через переднюю брюшную стенку – в этом случае на живот наносится
проводящий гель, что позволяет получить изображение приемлемого качества.
Как подготовиться?
Подготовка к обследованию ультразвуком зависит от способа его проведения, а также от конкретных требований клиники.
Если процедура проводится в бюджетной поликлинике, захватите с собой:
- полотенце или простынку, чтобы постелить на кушетку;
- салфетки для того, чтобы стереть гель (который обычно наносится в изобилии).
Если исследование проводится с помощью вагинального датчика, то придется наполнить мочевой пузырь. Врач порекомендует выпить достаточно жидкости, (лучше чистой воды) примерно за полчаса до обследования. Лучше прийти на УЗИ заранее и пить воду прямо здесь, а не дома или в дороге, чтобы позывы к мочеиспусканию не помешали провести обследование.
Справка! Чтобы избежать повышенного газообразования, за несколько дней до процедуры исключите продукты, способные вызвать брожение (дрожжевые изделия, бобовые, сырая капуста, орехи, виноград и семечки, молочные продукты, газировка).
Кому рекомендуется исследование?
Врачи советуют делать УЗИ на 1-2 неделе от зачатия в следующих случаях:
- если есть риск внематочной беременности;
- если женщина подозревает, что беременность наступила и очень переживает по этому поводу;
- если есть риск возникновения некоторых патологий, которые можно предотвратить;
- если менструаций нет, то нужно знать, наступила беременность или нет. Если она не выявлена, тогда нужно обратиться за консультацией к врачу, чтобы вовремя начать лечение;
- при ощущении тянущей боли внизу живота или имеющихся воспалительных процессах.
Что видно на фото плода?
Делая УЗИ на первой и второй неделе, женщины чаще всего не знают, будет ли видно на обследовании беременность.
Первое время после зачатия в организме женщины происходит целый ряд биохимических процессов и различных изменений.
Некоторые из них можно заметить на снимке УЗИ:
- предшественник эмбриона – доминантный фолликул, выглядит, как небольшойбугорок, хорошо заметный при исследовании ультразвуком;
- слизистая матки утолщается, это характерный признак увеличения количестваэстрогена, что бывает при беременности;
- хорошо видно желтое тело, сформировавшееся в месте прикрепления яйцеклетки.
Возможные противопоказания?
На тему вредности ультразвука для здоровья будущего малыша и его мамы есть множество противоречивой информации. Вред ультразвуковых волн научно не доказан, как и не доказана и абсолютная их безопасность. Без показаний не стоит злоупотреблять данной процедурой. Но если есть малейшие сомнения, то лучше их развеять.
Где сделать и сколько стоит?
Провести ультразвуковую диагностику трансвагинальным датчиком или через брюшную стенку можно в любой поликлинике по направлению из женской консультации.
Или в частной диагностической клинике, на платной основе, тогда направление не понадобится.
Цена медицинской услуги варьируется от 550 до 1200 руб.
Заключение
Если имеются признаки беременности, пусть и косвенные, то стоит прислушаться к врачебным рекомендациям:
- Исключить сигареты и алкогольные напитки.
- Не поднимать тяжести (больше 2-3 кг.), однако небольшая физическая активность женщине необходима. Лучший выбор – неспешные вечерние прогулки.
- Заменить приём ванны купанием в душе, отказаться от посещения бани и сауны.
- Скорректировать меню, заменив жареные блюда отварными и увеличив в рационе долю растительной пищи.
- Избегать стрессов и переутомления.
Источник: https://MediGid.com/uzi/beremennost/1-trimestr/1-2-nedelya.html
Когда делают УЗИ при беременности?

Когда делают точное УЗИ при беременности? Такой вопрос интересует почти всех женщин, которые планируют родить ребенка. Эта процедура очень важная для определения беременности.
На ее основании проводится оценка развития плода (соответствие гестационному возрасту). Исследование поможет узнать приблизительную дату того, когда именно должен родиться ребенок.
Именно, исходя из этих критериев, акушеры могут делать выводы о том, хватает ли малышу кислорода, есть ли у него необходимое количество питательных веществ и пр.
Когда УЗИ покажет, что женщина беременна
Оплодотворение яйцеклетки происходит сразу же в день овуляции или через несколько дней после нее. За это время сперматозоид должен до нее добраться. После этого происходит слияние этих двух элементов. Получившиеся клетки внедряются в слой слизи матки, где и начинает развиваться плод. Но это еще не значит, что делать УЗИ при беременности можно сразу же в первые дни после оплодотворения.
Насколько точно УЗИ определяет срок беременности, зависит от нескольких факторов:
- длительность развития плода должна быть достаточной для того, чтобы плод можно было не только разглядеть, но и отличить от полипов на слизистой матки;
- в полости матки не должно быть никаких воспалительных процессов, так как они провоцируют ее отеки (как результат, маленький плод будет незаметным);
- метод исследования должен быть выбран правильно;
- ультразвуковой прибор должен иметь хорошее расширение;
- процедуру должен проводить узкопрофильный специалист, лучше сонолог.
На каком сроке можно более-менее точно определить беременность по УЗИ? Если у врача, который проводит диагностику высокая квалификация и ультразвук имеет расширение высокого качества, то вполне вероятно зародыш можно увидеть размером от 3 до 5 миллиметров в диаметре. Это значит, что можно определить беременность уже через несколько дней после задержки. С какого срока тогда УЗИ показывает беременность после зачатия? Эта цифра будет составлять ровно 21 день.
Но намного эффективнее делать УЗИ на 10 день задержки. Процедура в этом случае проводится при помощи вагинального датчика.
Но не следует надеяться, что УЗИ покажет полностью точный результат. Даже если специалистом было выявлено плодное яйцо, то это никак не означает, что зачатие случилось. Яйцо может оказаться пустым и не иметь внутри себя эмбриона.
Однако 100% точный результат будет видно только по истечению 5 недель после зачатия. В этот период наблюдается сердцебиение у эмбриона.
Но если определение эмбриона не случается и на 7 неделе, то это точный признак того, что беременность не развивается.
Узи на ранних сроках
При возникновении вопроса, на сколько точно УЗИ определяет срок беременности, следует знать, что все зависит от выбранного способа диагностики. На ранних сроках рекомендуется делать трансвагинальное УЗИ. Оно проводится методом введения во влагалище датчика.
Однако трансвагинальное УЗИ не всегда можно использовать. Существуют случаи, когда лучше подождать и не рисковать жизнью и здоровьем своего малыша. Чтобы не случилось непредвиденных проблем, обязательно нужно проконсультироваться со специалистом.
Особенно опасно делать такую процедуру при болях внизу живота или же наличии выделений темного цвета.
При таких симптомах нужно делать трансвагинальное УЗИ только в случаях возможного развития внематочной беременности или других патологических процессов.Исследование УЗИ может не только показать, на каком сроке находится беременность. Существует еще много немаловажных факторов:
- может показать внематочную беременность;
- акушерский сотрудник сможет установить размещение плода, подтвердить факт успешного зачатия;
- если тест не показал положительный результат, а у женщины есть задержка, врач сможет выяснить ее причины;
- во время проведения УЗИ врачи ставят срок беременности;
- определяется количество плодов, которые находятся в матке;
- на УЗИ ставят диагноз по угрозам преждевременного прерывания беременности, которое может наступить вследствие неполноценного вынашивания ребенка.
Но беременным женщинам, у которых не наблюдается отклонений, необходимо проводить исследование не раньше 5 недель с момента зачатия. Это позволит выяснить, насколько правильно происходит развитие эмбриона.
Как проводят процедуру
Чтобы акушерский сотрудник мог поставить верный диагноз, к этому исследованию стоит основательно подготовиться. Особенно это касается проверки при помощи датчика:
- в мочевом пузыре не должна находиться моча (он должен быть полностью пустым);
- женщине необходимо снять нижнюю одежду и лечь на акушерскую кушетку;
- датчик помещают в презерватив и вводят во влагалище.
Но делать абдоминальное УЗИ намного проще. Нужно только обнажить живот. Специальным датчиком медицинский специалист должен проводить по необходимым областям живота, чтобы выбрать самый подходящий ракурс.
Как расшифровывается
На ранних сроках беременности можно различить такие признаки:
- можно увидеть круглое или овальное образование;
- диаметр образования будет составлять около 4-5 миллиметров;
- вокруг него можно увидеть тонкую оболочку;
- во время маточной беременности плод будет находиться в углу матки;
- внематочная беременность характерна наличием эмбриона в маточной трубе или даже в брюшной полости.
Также УЗИ можно сделать для определения наличия желтого тела. В нормальном состоянии такая железа должна исчезать до того, как наступят месячные. Если же в период, когда уже должна наступить менструация, желтое тело все же есть, то можно утверждать что женщина возможно беременна.
На какой день бы не проводилось УЗИ в ранние сроки, существует большая вероятность погрешности. Все зависит от даты зачатия и момента овуляции. Определить такие детали удается далеко не всегда, так что увидеть плодное яйцо в некоторых случаях получается позже, чем на 5 неделе.
Источник: http://GormonOff.com/zabolevanija/reproductive/kogda-delayut-uzi-pri-beremennosti
Показывает ли беременность на ранних сроках до задержки на УЗИ: диагностика, расшифровка, определение на первых неделях

Желание поскорей узнать о беременности, заставляет женщин обращаться к специалистам ультразвуковой диагностики, чтобы подтвердить свои догадки.
Необходимость узнать о новом положении на раннем сроке может быть вызвана не только любопытством, но и необходимостью принимать определенные препараты.
УЗИ рекомендуется проводить одновременно с другими методами диагностики, что повысит точность результата.
Узи на ранних сроках беременности: видно ли эмбрион
Проведение исследования на ранних сроках необходимо женщинам при повторной беременности, если она стали мамой при помощи кесарева сечения не более года назад. Это позволит оценить риски и убедиться в прикреплении эмбриона на достаточном расстоянии от рубца.
Можно ли с помощью УЗИ определять беременность
УЗИ – достоверный способ убедиться в том, что произошло прикрепление оплодотворенной яйцеклетки к стенке матки. В зависимости от срока, врач увидит только плодное яйцо или развивающегося в нем эмбриона.
Плаценты на ранних сроках еще нет, зато присутствует желтое тело, которое также хорошо видно специалистам.
Врач может увидеть место прикрепления плодного яйца в матке, от которого в будущем зависят особенности течения беременности.
На какой неделе после зачатия можно увидеть беременность в полости матки
Зачатие происходит после овуляции, когда яйцеклетка выходит в полость матки. Обычно это происходит на 14 дней с начала цикла, именно в этот период возможно оплодотворение.
На УЗИ зарождение новой жизни можно увидеть только при прикреплении зиготы к стенке матки, что происходит только на 7-10 день после зачатия. Часто врач на маленьком сроке видит в матке плодное яйцо, но не наблюдает в нем эмбриона.
Это может говорить о замершей беременности или слишком раннем обращении к специалисту.
Для точного определения наличия эмбриона рекомендуется обращаться на УЗИ не ранее, чем на 4-5 неделе акушерского срока, который соответствует периоду от первого дня последней менструации. Именно в этот период уже точно произошло прикрепление, и врач увидит изменения в полости матки.
Если внематочная беременность, ее видно на УЗИ
При закреплении зиготы вне матки, определить это на УЗИ достаточно сложно. Даже самый чувствительный аппарат не способен идентифицировать зиготу в маточных трубах или других органах репродуктивной системы.
Подозрения на внематочную беременность возникает при одновременном выполнении следующих условий:
- положительный тест, растущий уровень ХГЧ;
- отсутствие эмбриона в матке;
- дискомфорт в брюшной полости.
Через 4-5 недель после зачатия врач может обнаружить увеличение органа, в котором прикрепился эмбрион. В первые 2-3 недели после оплодотворения яйцеклетки увидеть на УЗИ замершую беременность невозможно.
Закрепиться оплодотворенная яйцеклетка может в любом месте: маточная труба, яичник или прямо на тканях брюшины.
Это серьезная патология, которая требует оперативного вмешательства и может угрожать жизни женщины.
Когда можно определить беременность на ранних сроках по УЗИ
УЗИ для определения беременности на ранних сроках рекомендуется делать не ранее 6 недели. Это объясняется тем, что в этот период уже появляется сердцебиение у плода и его нахождение в полости матки видно на любом аппарате.
Примерно с 4 акушерской недели врач может отметить наличие плодного яйца, изменившуюся структуру миометрия и другие косвенные признаки, указывающие на наступившую беременность.
Специалист может обратить внимание на расширившиеся сосуды матки, что необходимо для полноценного питания и роста зиготы.
Как часто можно делать на ранних сроках
УЗИ на ранних сроках делают по мере необходимости, вреда на плод исследование не оказывает. При необходимости контроля за развитием эмбриона, врач может рекомендовать пройти процедуру несколько раз с промежутком в неделю, что поможет принять решение о дальнейших действиях. Проведение контроля УЗИ в динамике требуется в следующих случаях:
- обнаружение плодного яйца без эмбриона;
- отсутствие сердцебиения после 6 недели;
- видимые патологии желтого тела.
Точность
До появления сердцебиения точно определить наличие развивающейся беременности сложно. Именно в 4-5 недель акушерского срока чаще всего происходит самопроизвольное ее прерывание, вызванное патологиями эмбриона, несовместимыми с жизнью. На этом же сроке беременность замирает при нехватке гормонов, в частности прогестерона, которые помогают ей развиваться.
Когда покажет
Через 4-5 недель после зачатия, когда акушерский срок более 6-7 недель, у эмбриона появляется сердцебиение. Сердечные сокращения подтверждают наличие беременности и ее развитие.
В исключительных случаях сердцебиение может появиться чуть раньше или позже, это зависит от периода, когда была овуляция и произошло зачатие.
Именно на этом сроке можно точно определить наличие эмбриона при помощи ультразвукового исследования и сделать первые его замеры.
Показывает ли пол ребенка на УЗИ
Появление первичных половых признаков у плода начинается во втором триместре. Определяют пол ребенка обычно в 20 недель беременности и позже, когда вероятность ошибки минимальна. В первом триместре отдельные специалисты могут предположить половую принадлежность малыша по частоте сердечных сокращений, которая немного различается у плодов женского и мужского пола.
На ранних сроках определить на УЗИ пол невозможно, при необходимости рекомендуется пройти другие виды исследования, например, по анализу крови. Такой анализ назначается при серьезных генетических патологиях в семье, передающихся только ребенку определенного пола.
Дополнительные методы, которые помогут определить беременность
Для определения беременности существует много способов, помимо ультразвукового исследования. Они применяются не только по отдельности, но и в дополнение к УЗИ, когда результат кажется специалисту сомнительным. Признаки зарождения новой жизни могут быть прямые и косвенные. К прямым показателям наличия беременности относится:
- положительный тест на беременность;
- уровень хорионического гонадотропина человека в крови у женщины выше 25 и продолжает расти;
- на осмотре врач подтверждает увеличение размеров матки.
Косвенные признаки встречаются ни у каждой женщины, их появление не всегда связано с беременностью. Убедиться в развитии эмбриона можно, если вместе с одним из прямых признаков присутствуют следующие:
- сонливость;
- тошнота;
- резкая смена настроения;
- набухание груди и повышение ее чувствительности.
Определение беременности по УЗИ – достоверный способ узнать о своем новом положении. Для точных результатов необходимо дождаться подходящего срока, это позволит не только убедиться в наличии эмбриона, но и узнать о нормально развитии беременности. Исследование помогает определить зарождение новой жизни, а также предположить особенности течения беременности.
Источник: https://justmama.online/diagnostika/uzi-na-opredelenie-beremennosti-na-rannih-srokah.html
Узи на 1, 2 и 3 неделе во время беременности

Первая акушерская неделя представляет собой период, берущий начало с первого дня последней менструации. В этом цикле происходит сам момент зачатия. Если говорить конкретнее о первой неделе беременности, то в этот момент женщина еще не забеременела.
Если говорить о первой неделе после зачатия, то она считается третьей акушерской неделей. Расчет зависит от овуляции (ранняя, поздняя).
1 неделя беременности, признаки
Каждой женщине характерны свои индивидуальные признаки беременности. Ведь одни из симптомов могут проявляться, а другие нет. Кому-то доводится почувствовать весь комплекс признаков, а кому-то лишь некоторые позиции.
Итак, самыми популярными признаками беременности, которые проявляются с первой недели считаются:
- Во-первых, задержка менструации (исключением являются случаи двурогости матки);
- Во-вторых, может ощущаться слабость, сонливость;
- В-третьих, тошнота, иногда даже рвоты;
- В-четвертых, слегка тянущие болезненные ощущения, возникающие внизу живота;
- В-пятых, обостренное восприятие запахов;
- В-шестых, перемены во вкусовых предпочтениях (один продукт начинает вызывать отвращение, а к другому проявляется явное пристрастие);
- В-седьмых, может замечаться увеличение груди, а также появление в ней легких болезненных ощущений;
- В-восьмых, Эмоциональная нестабильность.
Развитие эмбриона на первой неделе
Этот период характеризуется ускоренным ростом группы клеток, которые вскоре станут эмбрионом. На данном этапе у плодного яйца уже полный набор хромосом от своих родителей (по 23 от каждого).
Пол будущего ребенка уже определен (после зачатия), хотя УЗИ этого еще не покажет. На его половую принадлежность влияет информация отцовского сперматозоида, которому удалось оплодотворить яйцеклетку. Х-хромосома гарантирует появление на свет девочки, а Y – мальчика.
Женщина иногда и не задумывается о вероятности зарождения в ней нового организма, так как признаки беременности на таком раннем сроке могут еще не проявляться. Они могут очень слабо ощущаться или вообще отсутствовать.
В некоторых случаях уже беременную женщину может обеспокоить незначительное кровотечение (пару капель). Оно возникает в момент имплантации эмбриона внутри матки.
Если вы планируете беременность или зачатие уже произошло, укрепите свой организм. Принимайте специальный витаминный комплекс, разработанный для будущих матерей. Обязательное условие – насыщение организма фолиевой кислотой. Именно она защищает плод от возможных врожденных дефектов. Эта кислота содержится в моркови, абрикосах, спарже, тыкве, шпинате, яичном желтке.
Узи на 1 неделе беременности
Специалисты не назначают УЗИ во время первой недели беременности, так как сам факт изменения положения женщины еще не подтвержден. Женщина даже не будет догадываться о таком маленьком сроке. О беременности как о положении говорят уже после 3-й недели и УЗИ может ее подтвердить начиная с этого срока.
УЗИ на 1-й неделе может проводиться. Только поводом для него будет служить не подтверждение беременности. УЗИ в этот период специалисты назначают в следующих случаях:
- Проверка полости матки на присутствие миомы, сгустков крови, кисты и т. д.;
- Исследование эндометрия;
- Подготовка к стимуляции беременности;
- Положительный результат после стимуляции.
Вторая неделя. Ее особенности
2-я неделя считается зачатием. Ее, как и первую неделю, специалисты не называют беременностью. Ведь плод крепится к стенке матки после 3-4 недели. Другими словами, врачи-гинекологи называют этот период – второй неделей менструального цикла. Женский организм сейчас уже находится на подготовительном этапе к ждущим его переменам.
Рассматриваемый период выступает в качестве самого подходящего для зачатия благодаря овуляции. Симптомы беременности, которые мы рассмотрели выше, на этом сроке (как и при 1 неделе) практически не проявляются. Ведь это всего лишь благоприятный момент для зачатия.
Что меняется в организме?
На второй неделе организм ждет множество изменений, главное место среди которых выступает созревание яйцеклетки. Эта половая клетка передаст будущему ребенку вашу информацию (цвет глаз, кожи, фигуру).
Яйцеклетка все еще занимает свое место в фолликуле, который представлен пузырьком небольших размеров с мутной жидкостью внутри. После максимального растяжения стенки фолликула лопаются. Таким образом созревшая яйцеклетка попадает в полость брюшины.
Дальше ее путь лежит к матке. Попав из брюшной полости в маточную трубу, яйцеклетка форсирует в нужном ей направлении. Оплодотворение женской половой клетки происходит в основном в трубе. Реальная беременность наступает уже с того момента, когда сперматозоид проник в яйцеклетку. Затем уже плодное яйцо попадает в матку.
Желтое тело яичника, возникшее на месте лопнувшего фолликула берет на себя ответственность за выработку прогестерона. Этот гормон, так же как и прогестерон, необходимы яйцеклетке для прикрепления к стенке матки и дальнейшему сохранению беременности.УЗИ в этот период не покажет беременность. Показания для УЗИ могут быть только сугубо индивидуальны.
3-я неделя беременности
В это время плодное яйцо благодаря усиленному делению клеток достигает диаметра в 2 мм. Оно имеет форму небольшого шарика. После того как зародыш прочно прикрепился к внутренней полости матки, наблюдается полная блокировка менструаций. Начинает формироваться плацента, которая необходима для защиты малыша.
При ощущении некоторых изменений в организме, можно обратиться к врачу-гинекологу для назначения УЗИ. На таком сроке УЗИ уже способна подтвердить наличие плода внутри матки.
3-ю неделю беременности характеризуют 3 этапа:
- Овуляция;
- Зачатие;
- Имплантация оплодотворенной яйцеклетки.
Овуляция
Заключается в созревании яйцеклетки и ее освобождении от фолликула. На этом этапе половая клетка движется по направлению к матке.
Изначально она попадает в фаллопиеву трубу, где во время дальнейшего путешествия, происходит ее оплодотворение самым резвым сперматозоидом.
Если же оплодотворение не происходит, тогда яйцеклетка выводится из организма (после атрофирования) с менструальными выделениями.
Овуляция длится секунды (выход яйцеклетки из лопнувшего фолликула), а вот овуляторный период зависит от особенностей каждого организма и длится от 12 до 48 часов. Для определения более точного времени необходимо проводить тест на овуляцию.
Зачатие
Женская половая клетка сохраняет жизнеспособность 12-48 часов после выхода из фолликула, а мужская, как более жизнеспособная – 6-7 дней. За это время сперматозоид должен успеть оплодотворить яйцеклетку иначе она погибнет, а беременность не наступит.
По пути к половой клетке женщины сперматозоиды проходят естественный отбор. После свершения оплодотворения, организм получает сигнал о перемене. Начинается перестройка, целью которой является сохранение беременности.
Зигота, которая включает родительские клетки с хромосомными наборами (по 23) начинает активно расти. У нее уже определен пол, характер и особенности внешности. Первую неделю зигота вполне автономна. Она защищена от вредного воздействия негативных факторов благодаря желтому телу. После прикрепления эмбриона к стенке матки его развитие и защита напрямую зависит от организма матери.
Имплантация
Внедрение в стенки живота сопровождается наличием незначительных кровянистых выделений и легкой тянущей боли, появляющейся внизу живота. Имплантация занимает примерно 40 часов, после этого УЗИ определяет наличие плода в матке. Она происходит за счет деления и вживания в слизистую оболочку внешних клеток зиготы.
Деление клеток на данный момент ускоренное. Вскоре происходит образование кровеносных сосудов, которые становятся плацентой. Именно благодаря плаценте плод будет получать из материнского организма все необходимые ему вещества аж до рождения.
Формирование плода происходит из зародышевого узелка, а из поверхностных клеток образуются пуповина, а также околоплодный пузырь. Эти внезародышевые части обеспечивают безопасность малыша.
После окончания имплантации организм получает сигнал об изменении. Повышается уровень ХГЧ, а также проявляются признаки, характерные беременности.
Источник: http://UziGid.ru/beremennost-nedely/uzi-na-1-nedele.html


