Первых неделях беременности болит яичник
Что делать, если беспокоят боли яичников при беременности на ранних сроках? Причины и характер

Боль в яичниках во время беременности нельзя назвать редким недугом, подобные жалобы появляются у многих женщин. Этому явлению невозможно дать однозначное определение.
С одной стороны, чаще всего такие боли безобидны и не влекут за собой никаких серьезных последствий.
С другой точки зрения, вполне вероятно возникновение воспаления яичников, которое обязательно нужно лечить. Чтобы достоверно установить источник боли, стоит пройти обследование.
Боли на ранних сроках
Боли в первые недели беременности различаются по своему характеру и причинам с теми, которые диагностируют на поздних сроках. Главное выяснить, почему появились неприятные ощущения.
Выделяют несколько возможных причин возникновения дискомфорта:
- имплантационная боль может появиться из-за того, что на 7-8 день после оплодотворения яйцеклетка перемещается в матку и укрепляется на ее стенках. Плод погружается в эндометрий, при этом возникают ноющие боли;
- киста желтого тела. Она образуется на протяжении первых 3 месяцев в районе фолликула, из которого вышла яйцеклетка. После зачатия киста начинает медленно увеличиваться в размерах, поскольку главным ее предназначением является выработка прогестерона.
Если параметры кисты довольно внушительны, то она давит на капсулу яичника, в результате чего чувствуется боль. Такое положение не должно настораживать женщину, потому что увеличение прогестерона положительно влияет на протекание беременности. После 3 месяцев боли стихают:
- если сильным болям сопутствуют кровянистые выделения, то вполне возможен выкидыш. Обратившись к гинекологу, можно предотвратить негативное развитие ситуации;
- недостаточность желтого тела. Если в организме не хватает гормона прогестерона, то яйцеклетке не удастся нормально укрепиться на матке. Тогда внизу живота возможны тянущие боли. Нужно срочно начинать прием специальных препаратов, иначе присутствует реальная угроза выкидыша;
- неразвивающаяся беременность. Стоит обязательно сделать УЗИ, чтобы определить состояние, сердцебиение и деформации эмбриона. В подобных случаях сильной боли нет, появляются коричневые выделения;
- внематочная беременность формируется, если яйцеклетка попадает в яичник вместо матки. Появляется боль, которая отзывается в крестце или прямой кишке;
- проблемы сдругимиорганами. Часто женщине кажется, что боль концентрируется в яичниках, на самом же деле это могут быть расстройства в работе почек или желчного пузыря. Вероятно развитие холецистита, цистита, пиелонефрита.
Боль в левом яичнике
Неприятные ощущения в левом яичнике могут носить разный характер. Боль может быть тянущей, ноющей, резкой или дергающей. Такие симптомы могут говорить о физиологических или патологических изменениях в организме. К первой группе относится смещение левого яичника, которое происходит из-за роста матки.
Как правило, возникает дискомфорт, а не резкая боль, в период активного увеличения живота будущей мамы. Длительные физические нагрузки, прогулки могут спровоцировать поочередную боль в яичниках, которая не утихает продолжительное время.
Вторая группа более опасна своими последствиями. В левом яичнике может происходить воспалительный процесс, который характеризуется повышением температуры тела, болью, отдающей в крестец и усиливающейся при мочеиспускании.
Воспаление придатков ведет к появлению боли в обоих яичниках, низу живота, пояснице.Если боль в левом боку сильная и резкая, появляется кровотечение, то вполне вероятен разрыв левого яичка. Такая ситуация требует немедленного вмешательства медиков.
В случае оплодотворения яйцеклетки до ее выхода из левого яичника возможна внематочная беременность. Подобное явление довольно редкое.
Кисту или опухоль может выявить только врач на УЗИ. Боль будет неярко выраженной, тянущей. Если физических причин боли специалист не обнаружит, то, вполне возможно, ее причиной является депрессия, переживания, истерия.
Правый яичник, так же как и левый, подвержен смещению во время роста живота беременной женщины. Щадящий режим, умеренные физические нагрузки помогут организму более эффективно справляться с повреждениями мышц и связок.
Инфекции, стрессы, простуды, снижение иммунитета провоцирует аднексит – воспаление в правом яичнике, и оофорит – воспаление придатков.
Своевременная помощь специалиста даст возможность предотвратить прерывание беременности. Доброкачественные и злокачественные образования, внематочная беременность может угрожать этому органу, поэтому при возникновении болей лучше сразу обращаться в больницу.
Что это?
Боль в яичниках чаще всего беспокоит женщин возрастом от 18 до 25 лет, на который и припадает самый интенсивный период деторождения. Многие убеждают, что после родов и полного восстановления эти боли проходят и уже не возвращаются.
Во избежание серьезных проблем во время беременности будущая мама должна сообщать врачу-гинекологу даже о незначительных болях, которые возникают, ведь они могут говорить о наличии заболеваний.
Диагностика обычно заключается в ультразвуковом обследовании и сдаче анализов на инфекции. Лечение назначается тогда, когда польза для пациентки намного превышает риск для ребенка.
15 недель беременности
На 15 неделе беременности происходит активное смещение многих внутренних органов из-за увеличения матки в размерах. При этом яичники подпадают под это влияние в первую очередь.
К тому же в результате перемещения матки на прежнем месте яичников и их придатков могут оказаться уже другие органы. Поэтому определить, что именно болит, бывает довольно сложно. Часто боли в яичниках на таком сроке могут провоцировать проблемы с кишечником.
Поэтому будущей маме нужно особенно пристально следить за своим рационом, чтобы стул был мягким. Не помешает консультация с врачом, который определит, какой именно орган болит и в чем причина возникших нарушений.
16 недель беременности
Многие будущие мамы жалуются на резкую боль в области яичников, возникающую внезапно. Характер боли часто заставляет подозревать воспаление аппендицита. На самом деле чаще всего медики ставят диагноз «тонус матки», что означает активность мышц этого органа при беременности.
В возбужденное состояние матка в норме приходит только во время родов, а до этого она расслаблена. На первых неделях такое положение грозит выкидышем или замиранием плода. Поводом для тонуса матки является неправильный гормональный фон, нехватка прогестерона в организме.
В 16 недель тонус возникает потому, что увеличенная матка давит на другие органы, что вызывает боли. Спасти положение смогут препараты с прогестероном и спазмолитики.
Боль в яичниках на поздних сроках
Если боль тревожит будущую маму на последних неделях беременности, то, вернее всего, она не влечет за собой серьезных последствий.
Воспаления яичников или придатков происходят зачастую в первом и втором триместре, а возникновение их в третьем триместре очень маловероятно.
Дискомфорт появляется в результате выработки гормона релаксина, он готовит организм к родам и перемещению плода по родовым путям.
При этом становятся более мягкими хрящевые и связочные ткани. Такие процессы могут сопровождаться расхождением костей таза, болями, похожими на боль в яичниках.
Источник: http://MamaVika.com/beremennost/zdorove/boli-yaichnikov-pri-beremennosti-na-rannih-srokah.html
Болят яичники при беременности на ранних сроках

Если болят яичники при беременности на ранних сроках, то, как правило, повода для волнения нет. Обычно дискомфорт беспокоит по безобидным причинам. Однако игнорировать такой симптом не стоит. Лучше рассказать о нем гинекологу.
Безобидные причины болезненности в правом и левом яичниках
В первые недели беременности наблюдаются боли в придатках физиологического характера. Они не опасны и возникают по следующим причинам:
- Внедрение эмбриона в полость матки. На начальных сроках гестации плодное яйцо проходит в детородный орган, что провоцирует периодические боли, которые легко спутать с дискомфортом в районе яичников.
- Интенсивное увеличение матки, в результате чего возрастает давление на связочный аппарат. Из-за этого тянет яичники на ранних и поздних сроках беременности. Придатки «ноют» при занятиях спортом, резкой двигательной активности и редко в спокойном состоянии. Долгое пребывание на одном боку является виновником растяжения связки и дискомфорта, вследствие которого при беременности тянет яичник.
- Неправильная работа пищеварительного тракта. Женщина, которая забеременела, волнуется за здоровье и принимает проблемы с ЖКТ за боли в придатках. Установлено, что прогестерон провоцирует сбои в моторике кишечника и функционировании пищеварительного тракта, в результате чего возникают неприятные ощущения.
- Зачатие ребенка в определенном возрасте. Некоторые пациентки удивляются, почему болит яичник при беременности на ранних сроках и обращаются по этому поводу к доктору, который разъясняет, что часто такое явление наблюдается у женщин от 18 до 25 лет, впервые зачавших малыша.
- Гормональная перестройка в 1 месяц беременности. Гестация сопровождается существенным изменением гормонального фона, поэтому жалоба на то, что дергает придатки, может быть обусловлена перестройкой, происходящей в организме.
- Кистозное образование желтого тела внушительного размера – распространенная причина, при которой возникают боли в яичнике. Образование встречается на ранних сроках беременности, постепенно регрессирует.
- Последствия искусственной стимуляции овуляции. Яичник покалывает после вмешательства в гормональную систему извне, которое требуется при СПКЯ, может «стрелять» в указанный орган.
Женщины часто идут к гинекологу, по поводу того, что придаток внизу покалывает, ноет в 6 недель. Обычно это объясняется быстро растущей маткой или гормональной перестройкой.
Патологические причины боли в яичниках в первом триместре
Дискомфорт в яичниках в первые недели беременности возникает и по патологическим причинам, о которых речь пойдет ниже.
Эктопическая беременность
Режущие, колющие и другие острые боли в области придатка являются следствием эктопического оплодотворения. Если болит левый яичник при беременности, то это может свидетельствовать о локализации плодного яйца.
При аномальной локализации эмбриона возникают другие симптомы (например, полноценное кровотечение). Такая клиническая картина вызвана прикреплением эмбриона к другому органу. Интенсивный рост плода ведет к разрыву трубы и кровотечению.
Выявив патологию на ранних сроках, серьезного вреда для здоровья пациентки часто получается избежать.
Воспаление в яичниках
Указанная патология вызывает боли в нижнем отделе живота или в пояснице. Она встречается у женщин репродуктивного возраста. Воспаление носит острый или хронический характер.
Последняя форма протекает с периодами ремиссий и обострений, которые нередко случаются на ранних сроках беременности.
В гестационный период применение большинства антибиотиков невозможно, поэтому для профилактики заболевания нужно регулярно проходить осмотры гинеколога.
Воспалительный процесс может быть спровоцирован переохлаждением, а также простейшими, грибками, вирусами и т. д. Не исключена передача возбудителя половым путем.
Симптомы патологии схожи с клинической картиной других болезней, поэтому если на ранних сроках дергает придатки, то лучше всего обратиться к врачу, тем более что хронический процесс, существовавший ранее, на фоне снижения иммунитета может обостриться.
Психогенные причины боли в придатке
Если исключены все возможные патологии, а болезненность в придатке не проходит, то, возможно, она имеет психогенную природу. Это значит, что неприятный симптом возник на фоне депрессивного состояния, истерии, ипохондрического невроза. Ввиду гормональной перестройки, беременные женщины подвержены этим заболеваниям.
Другие причины
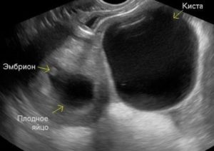
Снимок УЗИ. Одновременное наличие кисты, плодного яйца и эмбриона. Нажмите для увеличения
Болезненность в животе в первые недели беременности наблюдаются из-за воспаления органов мочеполового тракта. На усмотрение врача лечение проводится амбулаторно или стационарно.
Боль в правом или левом яичнике при беременности на ранних сроках может быть обусловлена следующими причинами:
- синдромом поликистозных яичников;
- перекрутом ножки кисты;
- разрывом яичника или кисты;
- аппендицитом;
- дисбактериозом;
- новообразованием (опухолью, кистой).
На первой недели беременности, как и на любом сроке, киста придатка нередко провоцирует интенсивные и длительные боли. Однако это происходит только по достижении новообразованием больших размеров. Резкая болезненность может быть обусловлена разрывом кисты и попаданием ее содержимого в брюшину. При этом наблюдаются: лихорадка, рвота, тошнота и др. симптомы.
При перекруте ножки кисты в начале беременности возникают сильные боли и др. опасные симптомы. Такое состояние, равно как и разрыв образования, требует оказания пациентке срочной медицинской помощи, т. к. последствия могут быть опасными для жизни.
Опухоль яичника провоцирует боли в животе на ранних сроках гестации. Это обусловлено тем, что образование сдавливает соседние органы.
Как действовать, если болят яичники
Найти причину болей может только гинеколог. Не стоит пускать все на самотек, если тянет правый яичник на ранних сроках беременности (или левый).
Чтобы определить природу симптома, понадобиться пройти:
- осмотр гинеколога;
- исследование ОАК, ОАМ, гормонального профиля;
- консультацию эндокринолога;
- УЗИ;
- КТ и МРТ.
Срочно проконсультироваться с врачом нужно если:
- боли усилились, были тянущими или тупыми, а стали острыми;
- болезненность беспокоит длительное время;
- возникли мажущие кровянистые выделения или обильное кровотечение;
- возникла лихорадка;
- выделения стали обильными зеленоватыми, желтоватыми или приобрели необычный запах;
- живот словно становится «каменным»;
- появилась тяжесть в нижнем сегменте живота.
Как облегчить боль в яичниках
Если дискомфорт вызван безобидными причинами, то можно воспользоваться способами, позволяющими облегчить боль:
- лечь поудобнее, расслабиться, глубоко дышать и думать о приятном (этот метод хорошо устраняет дискомфорт, обусловленный нервным перенапряжением);
- выполнять простые упражнения, посоветовавшись с врачом;
- пересмотреть свое меню, т. к. беспокоить может кишечник, а не яичники;
- оградить себя от стрессовых воздействий или минимизировать их.
Во время гестации полезны прогулки на свежем воздухе, разумная физическая активность и применение витаминов. При появлении подозрительных симптомов рекомендуется показаться гинекологу.
Если тянет левый яичник (или правый) на ранних сроках, возникают покалывания, причины обычно безобидные. А вот острые боли указывают на серьезную патологию.
Источник: https://oyaichnikah.ru/beremennost/rannij-srok.html
Болят яичники при беременности — что делать?

Боли в яичниках — достаточно частый, хотя и не совсем характерный симптом на ранних этапах беременности. Почему возникают такие проявления, насколько они опасны, и что делать при их возникновении? Ответы на эти вопросы вы найдёте в статье.
Что происходит с яичниками во время беременности
Когда женщина не вынашивает ребенка, яичники нужны для выработки половых гормонов и созревания яйцеклеток.
Что происходит с ними при гестации? Орган «засыпает», чтобы не возникла новая овуляция, а яйцеклетки не созревают. Появляется желтое тело, вырабатывающее 2 вида гормонов –эстрогены и прогестерон.
Просуществовав 12 недель, желтое тело исчезает, образуется плацента. Во время беременности в половых органах усиливается кровообращение. За счет этого яичники становятся крупнее, несколько меняют свою локализацию.
Могут ли они болеть и если да, то почему? Ответ — в следующем разделе.
Почему болят яичники — возможные причины
Когда появляется боль внизу живота слева или справа, нужно понять, из-за чего она возникла. Причины могут быть разнообразными.
Физиологические
- Внедрение зародыша в слизистую матки. С самого начала беременности на 7 день оплодотворения появляются неприятные ощущения внизу живота, напоминающие боли перед месячными, из-за опускания плодного яйца в матку с последующей имплантацией. Это абсолютно нормальное явление.
- Появление нагрузки на связки матки. Со временем, когда размеры плода увеличиваются, матка также растет, отчего поддерживающие ее ткани напрягаются. Беременные думают, что болят яичники, хотя на самом деле неприятные ощущения внизу и по бокам живота образуются из-за растяжения связок. Боль возникает при физических нагрузках, резких движениях или даже в расслабленном состоянии, когда девушка продолжительное время проводит на боку.
- Количество беременностей, возраст будущей роженицы. Чаще всего боли внизу живота появляются у пациенток, не достигших 25 лет, и вынашивающих ребенка впервые. При следующих беременностях будущие мамы почти не жалуются на неприятные ощущения в этой области.
- Изменения гормонального фона. Под действием перестройки может появиться дискомфорт, похожий на боли в районе яичников.
- Киста желтого тела. Состояние не считается патологией: оно встречается на ранних сроках до 11 недели. Образование появляется в том месте, где вышла женская половая клетка из фолликула. При гестации киста увеличивается, продуцируя прогестерон. Когда она достигает больших размеров, образование растягивает капсулу яичника, образуя неприятные ощущения и боль. Не пугайтесь такого состояния: оно не влияет на течение беременности. Киста исчезает вместе с желтым телом при наступлении 12 недели.
- Искусственная стимуляция при ЭКО. После экстракорпорального оплодотворения будущая мать предъявляет жалобы на ощущения покалывания, тянущую боль внизу живота в области яичников.
- Выработка релаксина. С 14 по 39 недели срока организм будущей мамы вырабатывает гормон. Он способствует облегчению прохождения ребенка по родовым путям, расхождению костей малого таза. Может появляться тянущие боли по бокам живота, в пояснице.
Патологические
Во время гестации неприятные ощущения бывают проявлением опасных заболеваний у будущей матери:
- Внематочная беременность. Это неотложное состояние, которое развивается из-за прикрепления плодного яйца не к слизистой матки, а другого органа. Чаще всего встречается эктопическая беременность фаллопиевой трубы. Появляются все признаки обычного вынашивания плода. Если женщина сделала тест, он показывает слабую полоску, которая при повторном определении произошедшего оплодотворения может исчезнуть. Заболевание характеризуется задержкой менструации, появлением на 5-6 неделе гестации режущей, острой боли в животе и сопровождается выделениями красного цвета или обильным кровотечением. Эмбрион растет, а впоследствии может разорвать трубу.
- Воспалительные процессы яичника – аднексит, оофорит. Неприятные ощущения возникают в левом или правом боку, внизу живота либо поясничной области чаще всего в первом или втором триместре. Воспаление бывает острым либо хроническим, причем последнее считается более опасным. Во время беременности недуг дает о себе знать, так как женщина наиболее уязвима при гестации. Развитие заболевания происходит вследствие банальной простуды, а также при поражении половыми инфекциями – хламидиями, микоплазмами, цитомегаловирусом, грибком рода Candida.
- Апоплексия. При беременности разрыв яичника происходит на стадии образования желтого тела. Он легко травмируется, прорастая новыми сосудами. При повреждении сосуда кровь формирует гематому, которая, увеличиваясь, разрывает орган. Наиболее часто встречается разрыв правого придатка, так как он лучше снабжается кровью по сравнению с левым. Апоплексия возникает из-за поднятия тяжестей, чрезмерной физической нагрузки, бурного полового контакта, травмы, патологии сосудов придатка.
- Разрыв кисты яичника. На раннем сроке образование характеризуется тянущей тупой болью в правом или левом боку. Когда оно лопается, жидкость выходит в брюшную полость. Появляются сильные, резкие боли, тошнота и рвота, повышается температура тела. Не менее опасным состоянием считается перекрут ножки кисты, при которых также появляются выраженные болевые ощущения внизу живота.
Смотрите ролик на тему кисты яичника при беременности:
https://www..com/watch?v=h6zYjz_z1bY
Неакушерские
Иногда чувство дискомфорта в области придатков не связано с какими-либо заболеванием в них.
Возникает патология других органов, а беременная женщина считает, что боли в животе связаны с яичниками:
- Нарушение пищеварения. Во время вынашивания плода возникает запор из-за неправильного питания и несоблюдения питьевого режима. Также проблема с пищеварением провоцируется токсикозом: вызывается отвращение ко многим продуктам со сбоем функционирования желудочно-кишечного тракта. После 30 недель организм будущей мамы подготавливается к родам: активно продуцируется прогестерон, расслабляющий гладкие мышцы органов. Вместе с этим гормон действует на гладкомышечные волокна ЖКТ – стенки кишки, желчный пузырь. Женщину беспокоят отрыжка, метеоризм, ощущение тяжести и дискомфорт в животе.
- Воспалительные заболевания почек, мочевого пузыря. Пиелонефрит и цистит — частые причины болей внизу живота.
- Острый аппендицит. При рези в правом боку беременная может решить, что у нее болит правый придаток. На самом деле воспалился аппендикс, и женщине необходимо срочно оказать медицинскую помощь. Если у беременной болит правый бок, ее обязательно должен осмотреть хирург с гинекологом.
Что делать при болезненных ощущениях
Что предпринять, чтобы яичники не болели? Для начала понять, почему возникла симптоматика. Только врач способен точно определить причину неприятных ощущений.
Вот почему консультация у гинеколога – обязательная процедура. Даже если женщина чувствует только тянущие, нерезкие боли, посещение специалиста необходимо.
При игнорировании симптомов повышается угроза для здоровья матери и малыша.
На ранних сроках
Если дискомфорт в животе несильный, можете попытаться их устранить самостоятельно.
Врачи рекомендуют выполнять следующие действия:
- Примите удобное положение лежа, постарайтесь полностью расслабиться до улучшения самочувствия. Если причиной болезненных ощущений выступает нервное перенапряжение или усталость, в покое симптомы проходят.
- Прекратите любую физическую деятельность, особенно ту, которая связана с поднятием тяжестей.
- Старайтесь избегать стрессовых ситуаций, не нервничайте.
- При усилении болей в животе или появлении кровянистых выделений не терпите и немедленно вызывайте скорую.
На поздних сроках
При неприятном чувстве в области половых органов на поздних сроках не паникуйте.
Проконсультировавшись с врачом, вы получите ценные рекомендации, которые будет выполнять:
- Если неприятные ощущения связаны с напряжением маточных связок, будущая мама должна приложить теплый компресс или нечто теплое комфортной температуры, но не горячее.
- Выполняйте умеренную физическую нагрузку. Она оказывает на женский организм тонизирующий и общеукрепляющий эффект.
- Когда причиной тянущих болей в животе выступает нарушение пищеварения, беременная первым делом должна пересмотреть свой рацион, устранив вредные, вызывающие газообразование и запор продукты.
Когда лучше обратиться к врачу
Существуют поводы, при которых необходимо срочно обратиться за медицинской помощью:
- Усиление боли: перемена с тупых, тянущих неприятных ощущений на режущие и острые.
- Симптом не стихает на протяжении длительного времени.
- Появление из половых путей мажущих коричневых, красных или розоватых выделений.
- Возникновение кровотечение из органов репродуктивной системы.
- Высокая температура тела.
- Выделение из половых путей отделяемого беловатого, желтого или зеленого цвета с дурным запахом.
- Ощущение «окаменения» живота.
Лечение народными средствами
Во время гестации будущей маме запрещено принимать множество фармацевтических препаратов. На помощь беременной приходят средства народной медицины.
По отзывам женщин на форумах, «бабушкины рецепты» не только справляются с болезненными ощущениями, но и не вредят эмбриону. И всё же применять средства нетрадиционной медицины нужно только после консультации с врачом. Некоторые безобидные на первый взгляд травяные препараты способны спровоцировать схватки и выкидыш.
Проверенные рецепты:
- Настой из черничных ягод. Для приготовления возьмите 1 ст. л. сырья, залейте стаканом кипятка и настаивайте около получаса. Полученный напиток выпивайте по ½ стакана утром и вечером.
- Настой из ягод шиповника с черной смородиной. Возьмите плоды в одинаковой пропорции, залейте их кипятком. Настаивайте напиток около часа, после чего процедите его и пейте вместо чая. При желании добавьте немного сахара.
- Настой липы. Приготовьте небольшую горсть плодов дерева. Залейте их 1 л кипятка, настаивайте около 15-20 минут. Процедите средство и принимайте по 1 ч. л. 3 раза в сутки.
- Настой мелиссы. 4 ст. л. сырья залейте стаканом кипятка. Затем оставьте лекарство настаиваться на 1 час. Процедите и пейте по полстакана трижды в сутки.
Перед их применением обязательно посоветуйтесь с лечащим врачом во избежание негативных последствий на организм матери и плод.
Профилактика недуга
Врачи утверждают, что основная мера предупреждения любых болезненных проявлений при гестации – это планирование беременности.
Следует отказаться от вредных привычек, своевременно выявить и вылечиться от заболеваний, которые при вынашивании могут причинить вред здоровью малыша. Особенно это касается половых инфекций.
Если маточные трубы имеют спайки или синехии, потребуется операция для их рассечения с целью предупреждения внематочной беременности.
Нужно соблюдать режим труда с отдыхом, не допуская переработки и усталости.
Специалисты разрешают выполнять умеренную физическую нагрузку, однако поднятие тяжестей, тяжелая нагрузка, бурный половой контакт должны полностью исключаться.Рекомендуется больше времени проводить на свежем воздухе, устранить любые стрессовые ситуации. Будущая мама должна правильно питаться, составив сбалансированный рацион.
Заключение
Боли в яичниках при наступлении беременности встречаются довольно часто. Это неудивительно, так как организм женщины начинает перестраиваться, а яичники также претерпевают изменения. Для определения диагноза будущая мама обязательно должна посетить врача, чтобы исключить серьезные заболевания и выносить здорового ребенка.
Источник: https://zen.yandex.ru/media/id/5b2379347ddde8d1ca77d255/5b2b3bdcb0e6cf00aaa5ce51
Болят яичники при беременности: тянут и боль на ранних сроках, в правом и левом, во втором триместре

В женском организме яичники выполняют репродуктивную функцию. У каждой женщины в них содержится своё количество яйцеклеток. Во время менструального цикла происходит овуляция, представляющая собой выход фолликула из яичника и попадание женской половой клетки в матку, где в перспективе может произойти зачатие.
Если это случилось, маточные придатки приостанавливают свою активность в этот период. Но иногда они могут напомнить о себе болезненными ощущениями, которые свидетельствуют либо о нормальном течении беременности, либо о патологии. Во втором случае может появиться большой риск для здоровья будущей матери и плода.
Изменения в организме после зачатия
Эти органы половой системы женщины располагаются в норме по бокам от матки и не превышают 5 см в диаметре.
Их размер колеблется в зависимости от индивидуальных анатомических особенностей женщины, а также её возраста.
Поскольку во всех органах малого таза во время беременности усиливается кровообращение с целью создания оптимальных условий для развития плода, происходит и увеличение яичников.
Постепенный рост матки приводит к тому, что её придатки меняют свою локализацию и размещаются ближе к передней брюшной стенке. Именно поэтому будущая мама может ошибочно принять дискомфорт внизу живота за патологию яичников.
Почему возникают неприятные ощущения?
Существует множество причин появления неприятных ощущений в области правого, левого или двух яичников. Боли могут иметь различную локализацию, иррадиацию, характер, степень выраженности и время возникновения. Каждая ситуация требует индивидуального рассмотрения. Если женщина заметила появления подобных признаков, ей следует незамедлительно обратиться к врачу.
Во-первых, это позволит ей избавиться от всевозможных страхов, ведь доктор проведёт обследование. Исходя из его результатов станет понятно, есть ли какая-то угроза для здоровья или жизни беременной и плода. Во-вторых, при выявлении угрозы будет оказана необходимая помощь и предоставлены дальнейшие рекомендации.
Стоит запомнить, что болезненные ощущения в придатках могут иметь под собой физиологическое обоснование, являются нормальным проявлением метаморфоз, происходящих с девушкой в положении.
Также они вызываются патологическими состояниями или заболеваниями. При этом обязательно нужно проводить лечение.
Поэтому боли в яичниках, исходя из причин их развития, можно разделить на две основные группы:
- Физиологические – возникают в результате изменений, происходящих в теле беременной, практически никак не влияют на общее состояние;
- Патологические – появляются зачастую параллельно беременности, то есть она не является предрасполагающим фактором. Могут усугубить её течение, повысить риск невынашивания, нанести внушительный вред здоровью.
Важно! Большая ошибка – не консультироваться со специалистом по поводу возникновения неприятных или болезненных ощущений, ссылаясь на то, что это нормальное явление у девушки в положении. Но этот период протекает по-разному у каждой женщины, поэтому подход должен быть индивидуальным в любом случае.
К физиологическим причинам возникновения болей относятся:
- Увеличение матки, из-за которого происходит растягивание фиксирующих её связок. В том числе натягиваются связки, окружающие придатки, поскольку последние, ко всему прочему, меняют своё местонахождение. Это создаёт дополнительное напряжение в соединительных тканях, приводя к болезненным ощущениям;
- Изменение гормонального фона в период вынашивания ребёнка. Вещества, выделяемые железами и тканями половой системы, стимулируют увеличение тазового кольца. Естественно, это не останется незамеченным со стороны женщины, а субъективное восприятие этих перемен она будет трактовать неправильно, считая, что у неё болят именно яичники;
- Формирование кисты жёлтого тела – после того, как фолликул выполнил своё предназначение, на его месте образовывается так называемое “жёлтое тело”, оказывающее положительное влияние на течение беременности. При его усиленном функционировании оно начинает расти, сдавливая окружающие ткани, тем самым вызывая боль и ощущение того, что он колит;
- Нарушение психического состояние беременной – перестройка организма, гормональный дисбаланс зачастую приводят к психическим расстройствам, проявляющихся в виде депрессии, ипохондрии. В этом случае будущую маму могут беспокоить психогенные боли, которые не имеют под собой соматической основы. В такой ситуации рекомендуется обратиться к психиатру.
Источник: https://ovulyacia.ru/jaichnik/pri-beremennosti/bolit
Почему болят яичники при беременности на ранних сроках?

Когда болят яичники при беременности на ранних сроках, одни женщины сильно пугаются и паникуют, а другие не обращают внимания на недомогание. Период вынашивания ребенка является испытанием для женского организма.
Системы и органы беременной работают в экстремальных условиях. Болевые ощущения могут быть естественной реакцией на изменения. Однако беременность иногда становится причиной развития патологий.
Состояние женщины в положении должен обязательно контролировать врач.
Имплантация плодного яйца
На самом раннем сроке беременности причиной болевых ощущений в области яичников может стать имплантация плодного яйца. Приблизительно на 4 день после оплодотворения и на 5 день после овуляции оплодотворенная яйцеклетка успешно достигает полости матки.
Во время движения по маточной трубе она делится и накапливает вещества, способные растворять верхний слой внутренней поверхности матки. Сразу после проникновения в орган, плодное яйцо прижимается к слизистой оболочке, разрушает ее ткани и соединяется с материнскими кровеносными сосудами, образуя эмбриональную почку.
Разрушение целостности кровеносных сосудов приводит к появлению незначительного кровотечения. Выделения в этот период приобретают розоватый, желтоватый или коричневый оттенок.
Во время имплантации женщина может ощутить покалывание или несильные тянущие боли внизу живота с той стороны, где прикрепился эмбрион.Имплантационное кровотечение и боли могут наблюдаться на протяжении нескольких часов или 1 – 2 дня. В редких случаях болезненность ощущается женщиной 3 – 4 дня. После закрепления плодного яйца недомогание бесследно проходит. Имплантационные боли не представляют опасности для беременной и ее ребенка.
Растяжение связок
Нормальное физиологическое расположение матки в теле обеспечивает связочный аппарат. Во время беременности фиксирующая часть связок позволяет матке беспрепятственно расти, двигаться и сокращаться. Вместе с ростом органа растягиваются и связки.
Растяжение связок сопровождается довольно сильными болевыми ощущениями внизу живота.
Боли возникают при резкой смене положения тела уже в первом триместре беременности (колет левый бок, если беременная резко поворачивается вправо).
Чаще всего женщина ощущает боли в положении лежа, переворачиваясь с бока на бок. Боль быстро затихает, но умеренная болезненность может сохраняться еще несколько минут.
Самые сильные боли наблюдаются в начале второго триместра, когда матка начинает стремительно увеличиваться в размерах. При многоплодной беременности рези при растяжении связок возникают раньше и проявляются сильнее. Растяжение связок является нормальным явлением и не требует лечения.
Боли в кишечнике
Высокий уровень гормона прогестерона при беременности действует расслабляющее на стенки кишечника. В расслабленном кишечнике пища продвигается медленно и часто застаивается.
Застойные явления в органах пищеварения усиливаются в результате снижения активности поджелудочной железы. Она уменьшает выработку ферментов под действием гормонов беременности. Из – за нехватки ферментов пища переваривается хуже.
Плохо переваренная еда скапливается в кишечнике и начинает бродить, образуя газы. Если беременная употребляет продукты, вызывающие повышенное выделение газов, ее состояние может стать критическим.
Газы распирают стенки кишечника и вызывают сильные режущие боли в внизу живота. Они могут возникать в области одного из яичников. Приступ длится от 5 до 15 минут. Он сопровождается выходом газов.Болит внизу живота при запоре. Вялая работа кишечника часто становится причиной скапливания каловых масс. Распирая стенки кишечника, они вызывают режущие боли внизу живота справа или слева.
Особенно часто и интенсивно мучают беременную кишечные боли в самом начале беременности, когда уровень прогестерона резко возрастает.
Чрезмерное газообразование и запор могут негативно повлиять на развитие беременности. Растянутые стенки кишечника сдавливают расположенную рядом матку и вызывают раздражение ее стенок. На раннем сроке беременности такое воздействие может спровоцировать сокращение матки и отторжение плода.
Беременной необходимо исключить из своего рациона газообразующие продукты. Рекомендуется употреблять больше овощей и фруктов, богатых клетчаткой.
Стимуляция работы органа
При некоторых формах бесплодия используется стимуляция яичников. Ее осуществляют со 2 – 3 дня после начала менструации с помощью гормональных препаратов (гонадотропинов). Гормоны стимулируют работу яичников, заставляя их работать с удвоенной силой. Ускоренный рост и созревание фолликулов вызывают у женщины тянущие боли в области яичников.
При проведении процедуры экстракорпорального оплодотворения (ЭКО) стимуляция яичников может проводиться еще интенсивнее. С помощью гормональных препаратов добиваются созревания одновременно нескольких фолликулов, чтобы увеличить шансы успешного оплодотворения.
При стимуляции возникают терпимые ноющие или колющие боли внизу живота справа или слева. Они имеют пульсирующий характер. Болезненный период длится от 10 секунд до 15 минут. Болевые приступы наблюдаются несколько дней, затем исчезают.
Если болезненные ощущения невозможно терпеть, необходимо обратиться к врачу. Сильные боли, сопровождающиеся тошнотой, рвотой и вздутием живота, могут быть признаком синдрома гиперстимуляции яичников.
Киста желтого тела
Желтое тело формируется на месте фолликула, из которого вышла яйцеклетка. Если яйцеклетка успешно оплодотворена, желтое тело становится железой внутренней секреции. Оно обеспечивает женщину необходимым для развития беременности количеством гормона прогестерона.
После зачатия желтое тело сильно увеличивается в размерах. В некоторых случаях может наблюдаться гипертрофия (избыточное развитие) желтого тела. Оно становится очень крупным и растягивает капсулу яичника. Такое состояние называется кистой яичника.
Чрезмерное растягивание стенок органа вызывает тянущие боли. Они ощущаются практически постоянно то увеличиваясь, то уменьшаясь. Иногда могут наблюдаться покалывания и легкие рези. Деятельность желтого тела угасает к 10 – 12 неделе беременности. С этого момента боли в области яичников больше не преследуют беременную.Яичник с кистой не представляет опасности для беременной и ее ребенка. Обратное развитие и исчезновение кисты (инволюция) происходит самопроизвольно после естественного угасания функции железы.
Возможность воспаления
После успешного оплодотворения нередко возникают обострения хронических заболеваний.
Некоторые из них могли протекать скрытно до беременности и женщина могла не догадываться о наличии патологии. Обострение заболеваний происходит вследствие естественного снижения иммунитета, вызванного беременностью.
Воспаление яичников проявляется в виде тянущих или режущих болей внизу живота. Если поражен правый орган, ноет справа. Если поражены оба яичника, рези ощущаются с двух сторон. Боль может отдавать в нижнюю часть поясницы, в область копчика и прямой кишки. Беременная ощущает тяжесть внизу живота.
Болезненные ощущения имеют приступообразный характер. С каждым новым приступом интенсивность боли усиливается. Со временем она становится нестерпимой. Характер болевого синдрома не меняется при изменении положения тела.
При воспалении яичников выделения становятся более обильными. Они имеют желтый или зеленый оттенок и зловонный запах. В запущенных случаях в выделениях может появиться кровь. У больной повышается температура тела, возникает слабость, тошнота и рвота.
Наличие воспалительного процесса у беременной представляет угрозу для здоровья будущей матери и ее ребенка. Заболевание может вызвать опасные осложнения, отторжение плода и гибель ребенка. Чем раньше беременная обратится за помощью к врачу, тем больше шансов сохранить беременность, здоровье беременной и малыша.
Внематочная беременность
При внематочной беременности оплодотворенная яйцеклетка имплантируется и развивается за пределами полости матки.
В подавляющем большинстве случаев (98%) плодное яйцо прикрепляется к стенкам маточной трубы. Во время роста эмбриона у некоторых беременных могут появляться незначительные болезненные ощущения в области яичника. Однако многих женщин боли не беспокоят. Дальнейшее развитие беременности может привести к трубному аборту или к разрыву маточной трубы.
При трубном аборте плодное яйцо отслаивается от стенок маточной трубы и изгоняется в брюшную полость. В этот момент у беременных возникают сильные схваткообразные боли в области яичника. Они могут отдавать в ногу, в прямую кишку или в бедро. Боль может прекращаться на время, затем возвращаться с новой силой. Трубный аборт сопровождается кровотечением, головокружением и обмороком.Разрыв маточной трубы происходит вследствие разрушения тонких стенок прохода ворсинками плодного яйца. Симптомы разрыва проявляются неожиданно и сильно. В области яичника возникает сильная боль, появляется кровотечение. Женщина ощущает слабость, у нее кружится голова. Она может упасть в обморок.
Трубный аборт или разрыв маточной трубы возникают на 5 – 6 неделе беременности. Такое состояние требует немедленной медицинской помощи. Оно представляет опасность для жизни женщины.
Заболевания мочеполовой системы
Болезненные ощущения ноющего характера внизу живота могут быть вызваны обострением цистита. Воспаление слизистой оболочки мочевого пузыря диагностируется у многих женщин на ранних сроках беременности.
Развитию патологий мочеполовой системы беременной женщины способствует высокая концентрация гормона прогестерона в крови. Он вызывает ухудшение перистальтики мочеточников. В результате гормональной перестройки продвижение мочи по мочевыводящим путям замедляется. При застое мочи создается идеальная среда для размножения патогенных микроорганизмов.
При цистите тянет внизу живота. Ноющие боли сопровождаются частыми позывами к мочеиспусканию. Во время опорожнения мочевого пузыря возникают резкие боли и жжение в мочеиспускательном канале. Количество выделяемой мочи незначительно. При цистите нередко повышается температура тела. У беременной может появиться тошнота и рвота.
При отсутствии лечения патогенные микроорганизмы, вызвавшие воспаление слизистой оболочки мочевого пузыря, поднимаются по мочевыводящим путям вверх. Они создают в тканях соседних органов новые очаги воспаления.
При воспалении тканей почек развивается пиелонефрит. Чаще всего пиелонефрит диагностируется у беременных женщин, которые до зачатия болели циститом или пиелонефритом.
При пиелонефрите боль возникает в области яичников, а также в районе поясницы. При двусторонней патологии болезненные ощущения могут наблюдаться справа и слева. При изменении положения тела интенсивность боли не меняется. У беременной снижается аппетит, появляется тошнота, переходящая в рвоту. Заболевание вызывает повышение температуры тела, озноб и головную боль.
Пиелонефрит может стать причиной внутриутробного инфицирования плода. Заболевание нередко провоцирует досрочное прерывание беременности, развитие почечной недостаточности и осложнение беременности.
Источник: https://upraznenia.ru/bolyat-yaichniki-pri-beremennosti.html


